インプラント

医療法人社団 松田歯科医院
8:30から受付中078-681-0418
24時間WEB予約
キービジュアル

インプラント「専門医」が在籍

次のような特徴があります。
「その日」に歯が入る術式
「切らない/縫わない/腫れない」方法
寝ている間に治療が終わる麻酔法
10年保証あり

インプラント無料相談
  • 治療前
  • 治療後
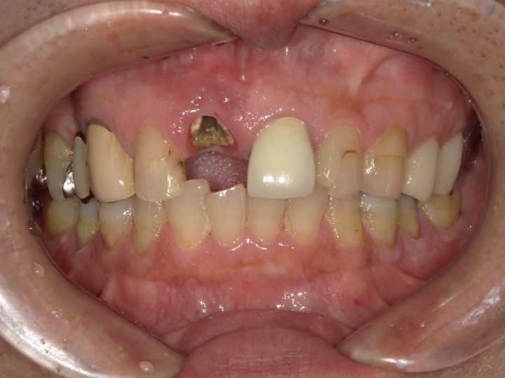
主訴左上の歯がないところにインプラントをしてほしい
どのように治療したのかの具体的な説明まずインプラントを埋入するための骨が足りなかったので骨を増やすためのサイナスリフト(副鼻腔の粘膜を持ち上げて骨を厚くする処置)をしたのちに左上欠損部にインプラント2本埋入、補綴
治療期間最終補綴物が入るまでに約一年 精密仮歯が入るまで約11か月
治療費サイナスリフト~最終補綴までで133.1万円 静脈内鎮静するなら都度+11万円
その治療をすることで起こり得るリスク当医院では考えにくいですが、手術跡の感染、インプラントの上顎洞への迷入等のリスクは0ではありません。
  • 治療前
  • 治療後
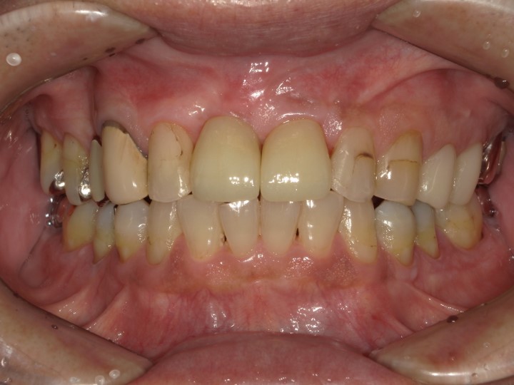
主訴金属の色が気になるので治したい
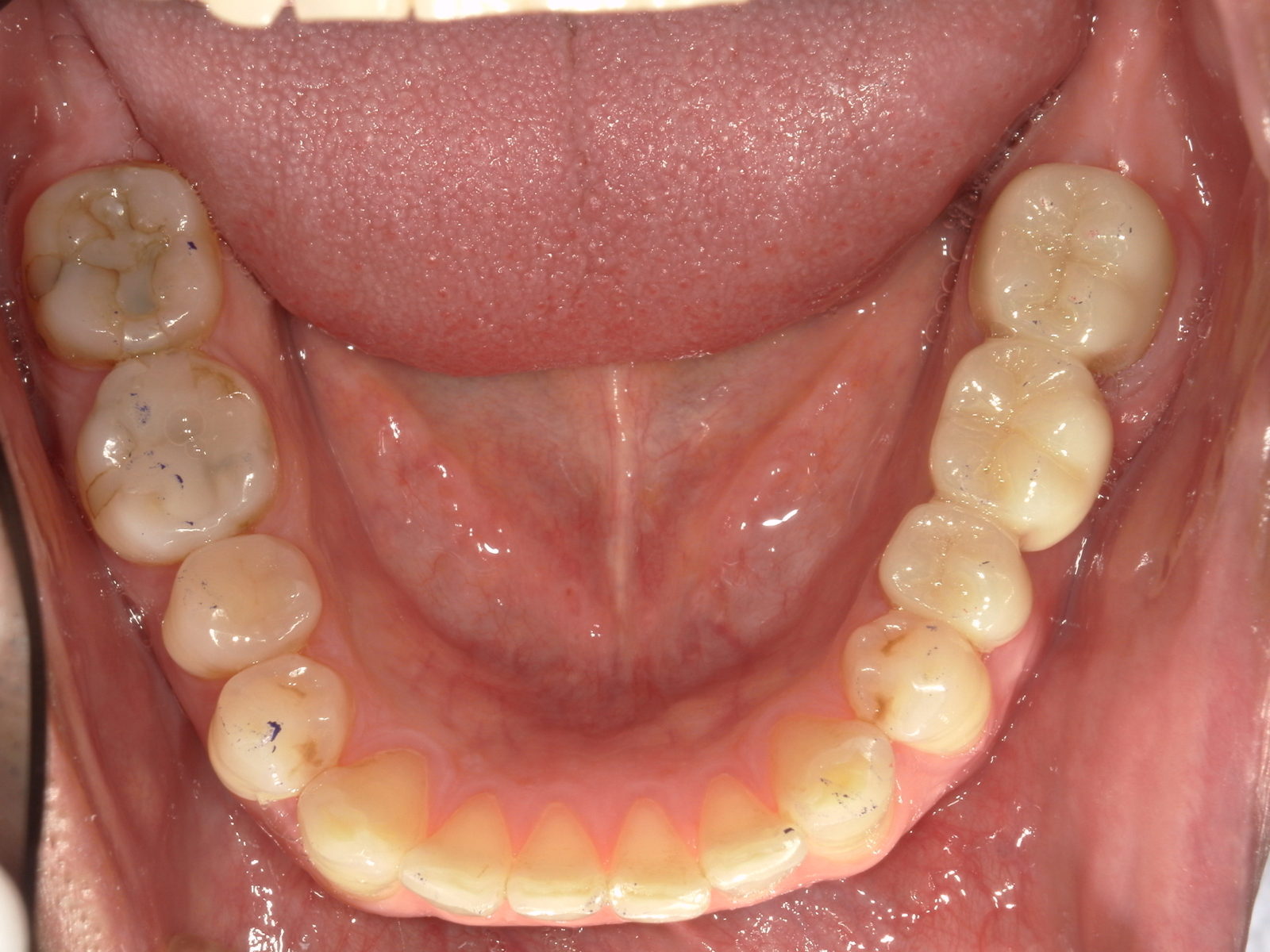
どのように治療したのかの具体的な説明右下5-7,左下4-7をジルコニアクラウンにて補綴
治療期間仮歯で調整する期間も含めて2か月ほど
治療費123.2万円
その治療をすることで起こり得るリスク一般的な補綴処置時と同様の、神経症状が出るリスク等
  • 治療前
  • 治療後
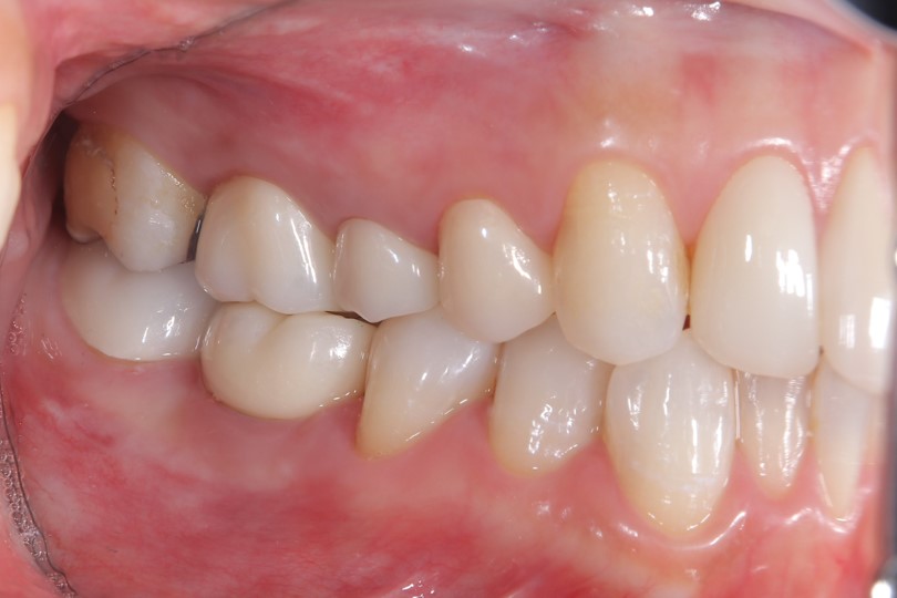
主訴右下の奥歯にインプラントをしてほしい
どのように治療したのかの具体的な説明右下6にインプラント埋入
治療期間3ヶ月ほど
治療費48万円
その治療をすることで起こり得るリスク不適切なポジションに埋入してしまうと歯の清掃性や咬合の機能に問題が生じ予後が悪くなるリスクあり
  • 治療前
  • 治療後
主訴左上の前歯にインプラントをしてほしい
どのように治療したのかの具体的な説明左上1の欠損部に小規模の骨を増やす処置(マイナーGBR)行い、インプラント埋入
治療期間3か月ほど
治療費63.8万円
その治療をすることで起こり得るリスク不適切な位置にインプラント埋入してしまうと歯茎のラインが合わなくなるリスク有
  • 治療前
  • 治療後
主訴右上の前歯が折れた
どのように治療したのかの具体的な説明右上1抜歯と同時にマイナーGBR併用しインプラント埋入 インプラントのローディングを仮歯で待ってからインプラント上部構造装着
治療期間最終補綴入るまでは約2か月 仮歯は即日装着
治療費69.3万円

コラムインプラントなのに切らない?!フラップレスインプラント

画像

インプラント治療は、入れ歯やブリッジとは異なり、外科手術が必要になります。このため、患者さんの中には痛み治療期間に関して不安を感じる方もいるかもしれません。

しかし、これらの懸念を解消する治療法が存在します。それが「フラップレスインプラント」です。通常のインプラント治療で行われる歯肉の切開をせずに、歯肉パンチという器具を使ってインプラントを挿入します。この方法では処置後の縫合も不要であり、手術時間の短縮や身体への負担軽減が可能です。

一般的なインプラント

フラップレスインプラント

歯茎の切開

必要

不要

処置後の縫合

必要

不要

痛み

ある

少ない

腫れ

ある

少ない

処置時間

比較的長い

10分程度

当院の選ばれる理由!患者さんの「負担」を最小限に

画像

インプラント治療は、失った歯を補うための治療方法です。その特長は入れ歯やブリッジとは異なり、他の健康な歯に負担をかけず、自然な嚙み心地を再現できる点と言えます。

しかし、インプラント治療を行うためには外科的な手術が不可欠です。これが患者さんにとって、身体的および精神的な負担となり、そのために治療を躊躇される方もいらっしゃいます。

当院では、患者さんへの負担を最小限に抑え、安全性を重視した治療に取り組んでいます。そのおかげか、車で1時間以上かかる遠方から、当院へ治療に通われる患者さんもいます。

これは当院の治療に満足いただけているからだと思います。そんな当院の「負担を最小限に抑えた治療」とはどのようなものか、紹介していきます。

「徹底した」カウンセリング

画像

まず当院では、患者さんの個別の状態や希望に基づき、入念なカウンセリングを行います。患者さんがどのような治療を希望しているのか、何に困っているのか、これらのことを把握することが、今後の治療プロセスや最適な結果に大きく関わってくると考えています。

同時に私たちはプロの目線から、患者さんにどのような治療が最適であるか、効果的に進められるかをお話します。患者さんの希望を無視して治療を勧めることはありませんし、反対に希望だけを聞いて治療することもありません。

相互に理解を深めた後、治療に入ります。

最新の「技術」と「機器」の活用

  • 画像
  • 画像

当院では最新のインプラント技術や手術機器を積極的に導入し、治療の精度を向上させています。外科治療と聞くと、「怖い」「痛い」というイメージはつきもの。そのため、最新機器を揃え、手術の安全性を向上させるとともに、痛みの軽減につなげます。

また、最新の精密機器での治療は、従来よりも回復期間の短縮に繋がります。具体的にどのような精密機器を取り入れているか紹介します。

マイクロスコープ

画像

マイクロスコープ」は、歯科用の顕微鏡で、患部を十数倍に拡大して観察することが可能な機器です。この顕微鏡を使用することで、手術中に拡大した患部を観察しながら治療を行うことができ、その結果、高い精度と正確性を備えた治療が可能です。

CT

画像

インプラント治療においては、歯を支える骨に埋め込むために骨の構造を正確に把握することが不可欠です。この際に使用されるのが「CT」で、360度回転しながら撮影することで、立体的で鮮明な画像を得ることができます。

これにより、血管や神経の位置を確実に把握し、安全性の高いインプラント治療を実現できます。

ピエゾサージェリー

画像

ピエゾサージェリー」は超音波の振動を利用して硬い組織(骨など)のみを切開できる装置です。歯茎や血管を傷つけずに治療を行うことができるので、患者さんへの負担を軽減できます。

コンピューターガイド

画像

当院では、「ノーベルガイド・クリニシャン」というコンピュータで手術をシミュレーションするシステムを導入しています。

CTが取得した立体データを用い、コンピュータが手術方法をシミュレーションします。これにより、神経や血管を傷つけずに、最適なサイズ・位置・方向でインプラントを埋め込む手術計画を立てることができます。

画像

また、これらのデータから「サージカルガイド」という、患者さんに合わせたマウスピースのようなものを作成します。このサージカルガイドには、インプラントを埋め込む位置に穴が空いています。

そのため、オペ当日は、このガイドに沿ってインプラントを埋入していきます。こうすることで、インプラントを埋める位置や角度の人為的ミスをなくします。

Xガイド

画像

サージカルガイドの他にも、「Xガイド」を使用することがあります。Xガイドとは、インプラント手術のための最先端の3Dナビゲーション・システムです。

手術中、リアルタイムで歯や骨の状態や、骨の内部にある神経や血管の様子を3D画像で把握できます。そのため、神経や血管を傷つけるリスクが軽減し、安全性を確保しながらの手術が可能です。

また、インプラント埋入方向、角度、深さの精度正確性も向上させます。

痛みを抑えた治療

画像

インプラント治療では、手術前後、手術中の痛みが怖いと感じられる患者さんも多くいます。その痛みを軽減するため、当院では麻酔鎮痛剤を適切に使用したり、「痛みを感じさせない治療」のため、最新麻酔器具や麻酔技術を導入したりといった取り組みをしています。

患者さんが快適に、リラックスして治療を受けていただけるよう最大限配慮しています。麻酔注射のための麻酔も可能です。痛みに不安がある方は、お気軽にご相談ください。

コラムウトウトしている間に治療が終わる「静脈内鎮静法」

画像
画像

インプラント治療には、外科手術が伴います。痛みを抑える工夫についてお伝えしても、やはりそれでも「怖い」と感じる方もいるでしょう。

そのようなお悩みをお持ちの患者さんにおすすめしているのは、「静脈内鎮静法」です。鎮静剤を点滴で入れてから治療を行います。

患者さんは、ウトウトしている間に治療が終わるでしょう。この治療法は、提携している、専門の麻酔医が担当します。

安心できるインプラントを採用

当院では、世界的に評価や信頼性の高いメーカーのインプラントだけを採用しています。その理由は、インプラントは身体の一部として数十年にわたって使い続けるものだからです。

だからこそ、信頼できるメーカーのインプラントを選ぶことは重要です。当院で採用しているメーカーは次の2つのメーカーになります。

ストローマン

画像

70以上の国々で利用されている、世界で最も普及しているインプラントメーカーの一つです。スイスのベルン大学での10年にわたる臨床研究により、手術成功率が約97%、インプラントの維持率が約98%という高い確実性が実証されています。

このインプラントは骨との結合率が高く、体への適合性に優れていることが特徴です。通常のインプラントでは骨への定着に2~3ヶ月を要しますが、このメーカーの製品では約3~4週間での定着が可能です。これにより、治療期間を大幅に短縮することができます。

プラマインプラント

画像

プラマインプラント」は、先進的な技術と高品質な製品で知られるインプラントメーカーの一つです。最新の研究と革新的な設計に基づいてインプラントが作られています。

実績も多く、製品の信頼性と持続性は医師からの支持も得ており、また患者さんへの満足度も高いです。

経験豊富な医療チーム

画像

当院の医療チームは、広範な経験専門知識を備えております。手術においては、コミュニケーションを大切にし、患者さんとの信頼関係を築きながら治療を進めます。

患者さんの不安や疑問に対しては、適切なサポートを提供し、全体的な治療体験を最良のものにするよう心がけています。

日本口腔インプラント学会「専門医」が在籍

当院の医療チームには、日本口腔インプラント学会専門医」が在籍しています。これは高度な専門知識を持つ医師が治療に携わっていることを示し、患者さんにとって安心感と信頼性を提供します。

専門医の経験とスキルに基づいた、質の高い治療が可能です。

院内技工所を併設

画像
画像

当院では、院内に歯科技工所を併設しており、専属の技工士が8名在籍しています。経験豊富な技工士や、インプラントセラミック専門の技工士など、専門分野に長けたメンバーが揃っています。

院内に技工士が在籍することで、リアルタイムで患者さん、医師と技工士の三者が連携できます。技工士が患者さんに直接ヒアリングしたり、骨格やしゃべり方などを見たりすることで、より患者さんに合った補綴物やインプラント治療に必要な装置を効率的に製作できます。

治療後も安心サポート

画像
画像

当院では、歯科治療保証会社である「ガイドデント」と提携しています。当院で治療を受けた方のインプラント体を、埋め込み手術日から10年間保証するというものです。

インプラント体・上部構造 共に保証してくれます。ガイドデントの保証プランには以下の特長があります。

予期しない損傷や失落に対する保証

通常のインプラント治療の保証では、予測不可能な事故によるトラブルは対象外とされることがあります。しかし、ガイドデントの保証では、インプラントが偶発的な事故で損傷したり失落したりした場合でも、保証限度額に到達するまで、無償で保証、修復治療を行うことができます。

引っ越し後も国内の加盟歯科医院でサポート

通常の治療の保証では、治療を受けた歯科医院に限定されますが、「ガイドデント」の保証では、国内のガイドデント加盟歯科医院であれば、保証を受けられます。

治療を終えた後、引っ越しをすることがあっても、患者さんは安心してメンテナンス等を継続できます。

多彩なインプラント治療方法

当院では以下のような多彩な治療方法にも対応しています。

手術当日に歯が入る「抜歯即時荷重」インプラント

画像

通常のインプラント治療では、歯を抜いた後、傷口が癒え、骨が安定するのを待ってからインプラントを挿入する手術が行われます。これにより、患者さんは数ヶ月にわたり「歯のない期間」が生じ、治癒する期間分、治療期間も長引く傾向がありました。

しかし、近年のインプラント治療技術の進歩により、「抜歯即時荷重」インプラントと呼ばれる新しい治療法が登場しました。

この治療法では、歯を抜いた当日にインプラント体を埋入し、仮歯まで装着できるため、大きく治療期間が短縮されます。また、抜歯した直後であるため、歯茎を切開する必要もなく、患者さんの身体への負担が軽減されます。
ただし、適応症例が限られるというデメリットも考慮する必要があります。

主なメリットとしては以下のようなものがあります。

・治療時間の短縮につながる
・歯茎を切開しないため、身体への負担が少なくなる
・来院回数も減らせる

・費用:¥693,000円

主なリスクと副作用

・インプラントの安定不良
抜歯直後に負荷がかかることで、インプラントが安定せず失敗する可能性があります。
・骨結合の阻害
過度な力がインプラントに加わると、骨と結合しにくくなることがあります。
・感染のリスク
抜歯部位が十分に治癒していないため、細菌感染が起こる可能性があります。
・腫れや痛み
手術後、歯肉や周囲組織に腫れや痛みが生じることがあります。
・噛み合わせの不具合
早期に噛み合わせを回復するため、微調整が必要になることがあります。

最小4本のインプラントですべての歯が入る「All-on-4(オールオンフォー)」

画像

多くの歯を失った場合、全ての歯をインプラントで補うことは経済的な負担も大きいですが、患者さんの負担も大きくなることがあります。このような場合におすすめする治療法が、「All-on-4」です。

All-on-4は、最小4本のインプラント体で、片顎に全ての歯列を支える治療法です。症例によっては6本必要な場合もあります。

総入れ歯をインプラント体4本で支えるというイメージです。この治療を行うと、患者さんは多くの歯を効果的かつ経済的に補えます。

費用面はもちろん、治療期間も短縮できるといったメリットがあります。

・費用:¥4,939,000円

主なリスクと副作用

・手術後の腫れや痛み
インプラント埋入後、一時的に腫れや痛みが生じることがあります。
・インプラントの安定不良
骨の状態や過度な力によって、インプラントが結合せず失敗することがあります。
・感染のリスク
手術部位が細菌感染を起こし、炎症や膿が発生する可能性があります。
・噛み合わせの違和感
人工歯の調整が不十分だと、噛み合わせに違和感が出ることがあります。
・骨吸収のリスク
長期的に負荷がかかると、骨が徐々に吸収されることがあります。

他院で治療を断られた方へ

インプラント治療には外科処置が伴うため、患者さんの中には治療を断念する方もいます。しかし、当院では「骨造成」と呼ばれる顎の骨を増やす処置を行うことで、インプラント治療ができるケースがございます。

他院でインプラント治療を断られた方は、諦める前に、まずは当院へご相談ください。

画像

当院のインプラント治療の流れ

STEP1カウンセリング

画像

最初に、患者さんからお話を詳しく伺うカウンセリングを行います。患者さんがインプラント治療に求めることや治療に関する疑問点などもお聞きしていきます。

どんな小さなことでも、お気軽にご質問ください。このカウンセリングは、患者さんが安心して治療に臨むためのステップだと考えています。

STEP2検査・診断

画像

患者さんのお口の状態を正確に把握するために、CTレントゲンなどを使用して精密検査を行います。この段階で抜歯即時荷重インプラントが可能か、あるいは手術前に骨造成が必要かなどを判断します。

もしもインプラント治療が適さない場合は、別の治療法を提案いたします。

STEP3治療方法の説明

画像

検査の結果、インプラント治療が可能であると判断した場合、治療計画を詳しく説明します。治療のメリットデメリットを患者さんにお伝えし、実際に治療を開始するかどうかを患者さんが判断できるようサポートいたします。

疑問や不安があれば、どうぞご遠慮なくご質問ください。

STEP4虫歯や歯周病の治療

画像

もし虫歯や歯周病が見つかれば、先にこれらの治療を行い、お口の中の環境を整えます。これにより、インプラント治療の成功率が高まります。

STEP5インプラント手術

画像

インプラント体を入れる手術を行います。手術の時間は手術の種類により異なりますが、1〜2本であれば1時間ほどで終了することがあります。
抜歯即時荷重インプラントの場合、手術の当日には仮歯が装着されます。

STEP6治癒期間

画像

手術後、インプラントと骨が結合するのを待ちます。通常は1〜3ヶ月程度かかります。

STEP7上部構造の作製

画像

インプラントと骨がしっかり結合したら、上部構造(人工歯)を取り付けます。その後、噛み合わせを調整すれば治療は完了です。

STEP8定期的なメンテナンス

画像

インプラントを長く使用するためには、定期的なメンテナンスが欠かせません。インプラントは虫歯にはなりませんが、「インプラント周囲炎」と呼ばれる症状が起こる可能性があります。

インプラント周囲炎が進行すると、インプラントが抜けるリスクが生じます。必ず定期メンテナンスを受けるようにお願いしています。

初診「個別」相談へのご案内

当院では、患者さんが抱えていらっしゃるお口のお悩みや疑問・不安などにお応えする機会を設けております。どんなことでも構いませんので、私たちにお話ししていただけたらと思います。
ご興味がある方は下記からお問い合わせください。

医療法人社団 松田歯科医院

24時間WEB予約

お電話でのご予約は8:30から受付中
078-681-0418

〒652-0872
兵庫県神戸市兵庫区吉田町2丁目40番8号
(駐車場30台分確保)