「美しさ」と「機能性」を追求した
セラミック矯正

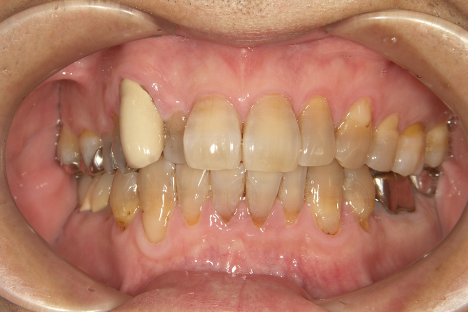
| 主訴 | 歯の色合いが気になる |
| どのように治療したのかの具体的な説明 | まず前歯部のみの矯正(iGo)行った後に診断用ワックスアップ経て全顎プロビに置き換えたのちにジルコニアクラウンにて補綴 |
| 治療期間 | 1年半 |
| 治療費 | 588.5万 |
| その治療をすることで起こり得るリスク | 適切な診断伴わない矯正してしまうと、歯根が歯槽骨から逸脱してしまうリスクあり |




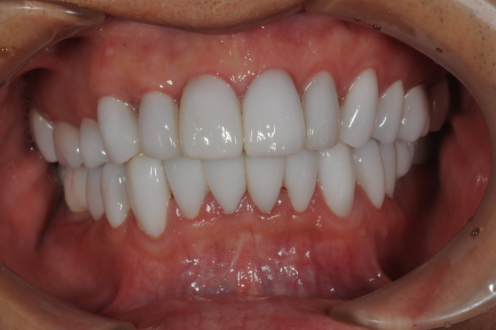
| 主訴 | 歯の色合いが気になる |
| どのように治療したのかの具体的な説明 | まず前歯部のみの矯正(iGo)行った後に診断用ワックスアップ経て全顎プロビに置き換えたのちにジルコニアクラウンにて補綴 |
| 治療期間 | 1年半 |
| 治療費 | 588.5万 |
| その治療をすることで起こり得るリスク | 適切な診断伴わない矯正してしまうと、歯根が歯槽骨から逸脱してしまうリスクあり |

一般的に、歯並びを整えるのは「歯列矯正」、歯の形や色を整えるのは「セラミック治療」とされています。
当院では、これらを合わせた「セラミック矯正」を行っています。具体的には、「セラミックの被せ物」で歯の形や色を整えるだけではなく、歯並びも一緒に整えていきます。
一般的な矯正治療とセラミック矯正の比較について、多くの患者さんからご質問をいただくため、簡単に違いをまとめてみました。下記をご覧ください。
治療期間 | 治療法 | その他 | |
|---|---|---|---|
矯正治療 ![]() | 1年半~2年 | 矯正装置 | ・抜歯が必要な場合がある |
セラミック矯正 ![]() | 1回~3回 | セラミックの被せ物 | ・抜歯は不要 |
ご覧の通り、セラミック矯正は短期間で美しい歯を手に入れられるメリットがある一方で、「健康な歯を削る」必要があります。セラミックの被せ物をするためには、天然歯を削ることは避けられません。
そのため、健康な歯を削ることに抵抗がある方には不向きな治療になります。そうした方には矯正治療がおすすめですので、矯正治療のページをご覧ください。
・費用
セラミック矯正:¥187,000円

下記に当てはまる方は、矯正治療よりもセラミック矯正をお勧めしています。

被せ物を製作するのは歯科医師ではなく、歯科技工士です。当院は、院内に技工所を完備し、歯科技工士8名が常駐しています。
被せ物等の補綴物(ほてつぶつ)の製作は外注するのが一般的なのですが、その分、時間もコストもかかります。
また、患者さんと直接やり取りできないため、どうしても補綴物のクオリティが低くなりがちでした。
しかし、院内技工にすることで、歯科医師と歯科技工士と患者さんが密にコミュニケーションを取ることができ、高クオリティな補綴物を提供することが可能になりました。期間やコストも削減につながるため、患者さんの負担も軽減できます。
当院では、患者さんが抱えていらっしゃるお口のお悩みや疑問・不安などにお応えする機会を設けております。どんなことでも構いませんので、私たちにお話ししていただけたらと思います。
ご興味がある方は下記からお問い合わせください。