
院長歯科医師 松田 康暉 YASUAKI MATSUDA
歯周再生・インプラント
- ・関西学院大学
人間福祉学部 社会起業学科卒 - ・大阪歯科大学卒
- ・神戸松田歯科医院 臨床研修修了
1日2名限定


真の「理想の治療」とは、単に早く終わることではなく、
短期間で完了し、かつ長期的な安定を
手に入れることです。
一般的な歯科治療が長引く要因。
それは治療そのものの難易度よりも、
次回予約までの空白や細切れに行われる処置
による時間的なロスが大半を占めています。
E+では、最大9時間の治療枠を確保し、
各専門分野のスペシャリストが連携することで、
その構造的な無駄を極限まで排除しました。
ただの短縮ではありません。
質の高い医療を、高密度に提供する凝縮です。
多忙なあなたの時間を守りながら、
一生涯を見据えた予知性の高い歯科治療を
追求しています。
新しい歯科のコンセプト
「プレミアム短期集中治療」
一般的な
歯医者
当院
治療時間
1回 15分〜30分前後
1回 2時間〜9時間の集中治療
通院回数
数回〜数十回の通院が必要
ほとんどの治療が1回で終了
複数の歯を1回にまとめて治療
担当ドクター
担当医の経験・スキルにバラつき
10年以上の実績を持つ
各分野の専門ドクター7名による
専任チーム
費用
保険診療が中心
100%自費診療
費用を抑えながら
時間をかけて治療したい方向け
最短で「一生モノの安定」を
手に入れたい方向け
Premium Intensive Treatment
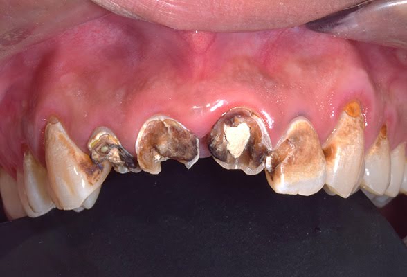
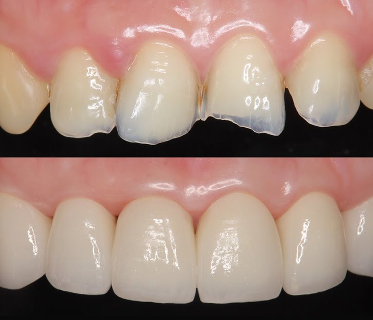
E+のプレミアム短期集中治療は、単に時間を短縮するのではなく、「治療工程を凝縮し、最高品質に仕上げる」ことを目指した、自費診療専門のプログラムです。


01.
【55,000円(税込)】ゴールを共有する徹底診断。
02.
数ヶ月分の処置を1回に凝縮します。
03.
手戻りのない処置で最短ルートを導きます。
04.
配送期間をなくし、最短即日で完成させます。
05.
チーム医療で並行処置を行います。
01
「やり直し」のない治療のための、緻密な設計図を作成します。
闇雲に歯を削るような治療は行いません。 まずはCTや3Dスキャンで口腔内をデータ化し、リスクを可視化。 全ての工程をシミュレーションすることで、迷いのない、医学的に正しい「治療計画」を立案します。
初診診断パッケージ:55,000円(税込)
最高精度の治療を行うために必要な、全ての検査を含みます。
02
あなたのためだけにドクターを確保。数ヶ月分の工程をこの1回に「凝縮」します。
一般的な歯科診療(15〜30分)では、毎回「麻酔」や「消毒」を繰り返す必要があり、治療そのものは少しずつしか進みません。 当院では、半日〜1日をあなたの治療のためだけに貸し切りにします。 一気に処置を進めることで、治療の精度を保ったまま、通院の負担を最小限に抑えます。

一般的な歯医者
15〜30分

神戸松田歯科E+
120〜
540分
03


マイクロスコープやCT、3Dスキャナを駆使し、肉眼では見えない部分まで可視化。勘や経験に頼らず患部を正確に捉え、やり直しのリスクを防ぎます。迷いのない正確な処置が、最短の治療ルートを導きます。
04


外部製作所への依頼で生じる「数週間の配送期間」が当院にはありません。
専属の歯科技工士が治療に立ち会い、その場で色や形を微調整。 最高品質の修復物を最短即日で完成・セットできます。
PROFILE
1981年 岐阜歯科大学卒業後、神戸市内の歯科医院にて勤務
1984年 神戸市兵庫区にて、松田歯科医院を開設
1997年 学位記(歯学博士)を取得
2001年 神戸歯科麻酔インプラント研究所を創設
2007年 日本口腔インプラント学会専門医に認定
2011年 BPSデンチャー国際ライセンス取得
2013年 「歯の治療の補綴用ガイドプレート」実用新案特許取得



気づいた時には、全てが終わっている。
長時間の治療も、点滴麻酔「静脈内鎮静法」なら安心です。 うとうと眠っている間に全てが完了するため、痛みや時間の経過を感じさせません。 麻酔専門医が全身を常時管理する、安全性の高い方法です。
01
歯科恐怖症
の方
02
長時間の治療が
不安な方
03
おう吐反射が
強い方

兵庫県神戸市兵庫区の短期治療×高品質治療×フルオーダーメイドをテーマとしている歯医者「神戸松田歯科E+」。当院が実施する短期治療をご紹介します。虫歯や歯周病、根管治療は当然とし、セラミック治療、ガミースマイル治療、インプラント、オールオン4、入れ歯、ボロボロの歯の総合治療に関しても短期治療を実現しています。


Bringing smiles to life














兵庫県神戸市兵庫区吉田町の歯医者「神戸松田歯科E+」のホームページをご覧いただき、ありがとうございます。当院では、仕事や育児で忙しい方のために、1日で治療が終わる虫歯治療、1dayセラミック治療、1dayデンチャー(入れ歯)、1~2回で終わる根管治療、オペ当日に歯が入るインプラント治療、歯周病の短期集中治療などに対応しています。他にも、抜歯を回避する治療、再生歯内療法(RET)にも対応可能な小児歯科、ガミースマイル治療、ボロボロの歯の治療、親知らずの抜歯も行っています。歯科恐怖症の方のために、睡眠無痛治療にも対応。セカンドオピニオンにも対応しているので、ご相談ください。平日夜19:00まで、土曜日も17:00まで診療しています。海岸線「御崎公園駅」3番出口からすぐにあります。