「セカンドオピニオン」対応
「抜歯」と診断された歯
残せる可能性も。
できる限り抜歯を避け、
患者さんご自身の歯を残す治療に努めています。
- エクストリュージョン
- 歯周組織再生療法
- 歯根端切除術
- 意図的再植
- ルートセパレーション
- クラウンレングスニング
注目歯を残すための「短期×高品質×安心」治療体制
重度の虫歯や歯周病でも、すぐに「抜歯」とは判断せず、できる限り歯を残す治療を優先しています。
エクストリュージョン法や歯根端切除術、歯周再生療法などを駆使し、歯の保存を目指します。
これらの治療後に必要な被せ物も、高性能な3D加工機「ミリングマシン」を使えば即日製作・装着が可能。
さらに、殺菌と治癒促進に優れた「ヤグレーザー」を併用することで、痛みを抑えつつ、短期間での治療完了が目指せます。
治療は実績豊富な「実力派ドクター」が行い、治療の選択肢をしっかりご提案します。
「セカンドオピニオン」にも対応しているので、他院で「抜歯しかない」と言われた方も、一度ご相談ください。
抜歯を回避するための「専門治療」
虫歯や歯周病が進行し、通常は抜歯が選択されるケースでも、当院では以下の先進的な治療法を用いて、できる限り歯を残すことを目指しています。
- エクストリュージョン
- 歯周組織再生療法
- 歯根端切除術
- 意図的再植
- ルートセパレーション
- クラウンレングスニング
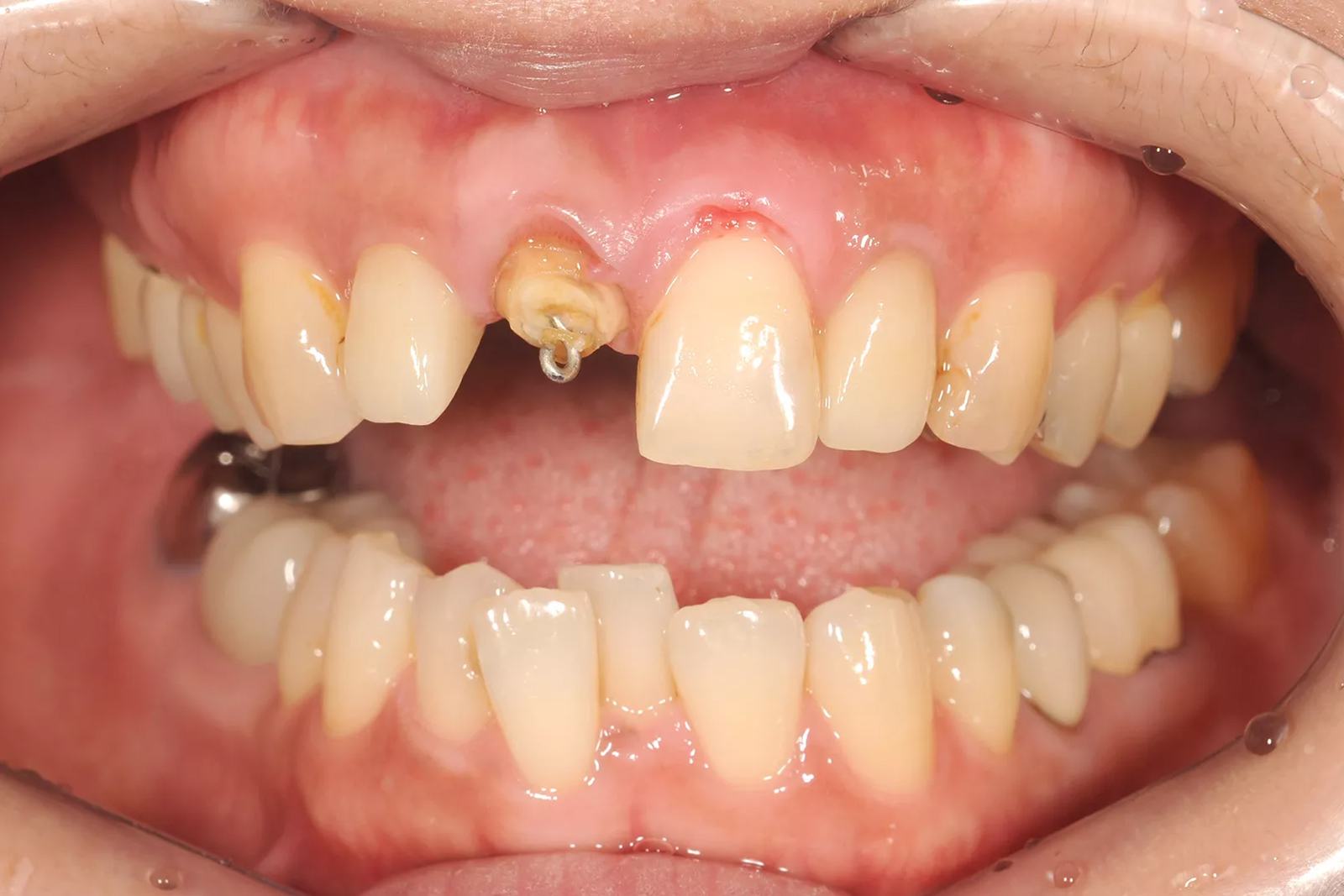
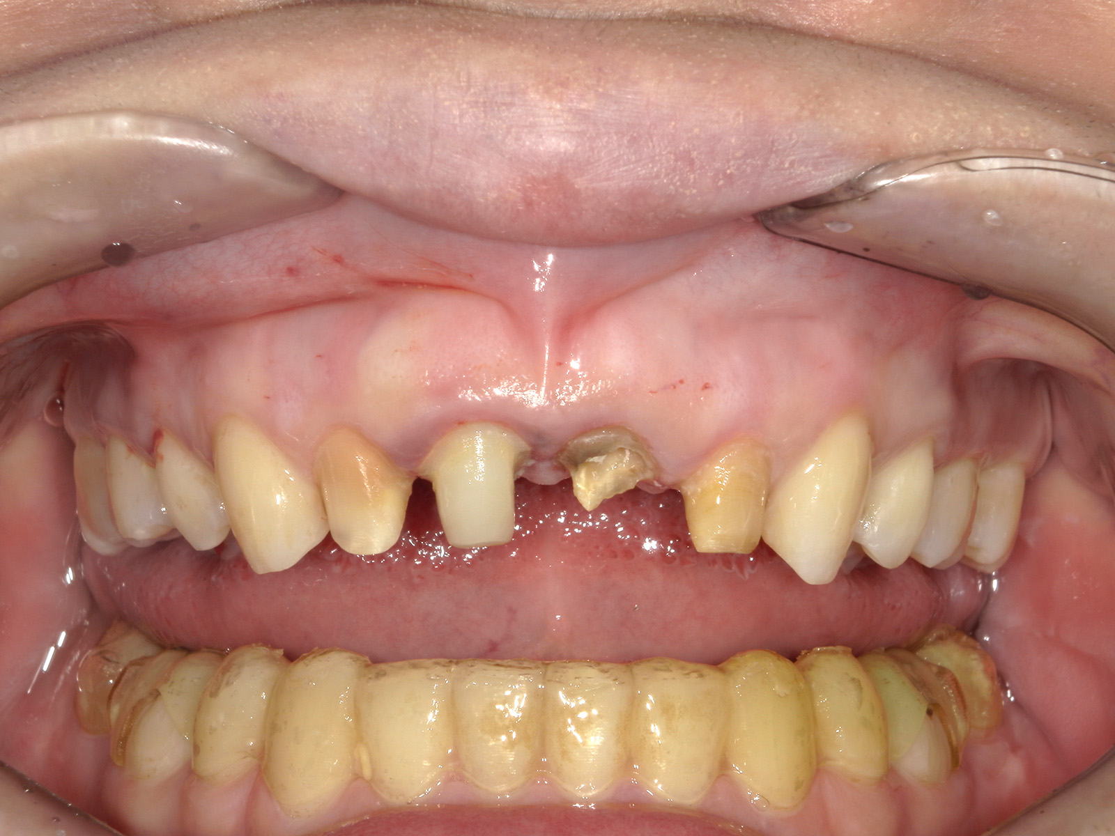
重度の虫歯も抜歯を回避「エクストルージョン法」
虫歯が進行して歯の頭が崩れてしまうと、被せ物を支える土台がなくなり、多くの歯科医院では抜歯を提案されることがあります。
しかし当院では、歯の根を少しずつ引き上げて健全な部分を露出させる「エクストルージョン法」により、歯を残せる可能性があります。
失った組織を回復する「歯周再生療法」
歯周病や重度の虫歯によって、歯を支える骨や歯ぐきが失われた場合でも、抜歯を回避できる可能性があります。
当院では、「歯周再生療法」として、骨を再生させる「GBR(骨造成)」や、歯周組織の再生を促す「エムドゲイン」や「リグロス」を使用した治療を行っています。
次の動画をご覧ください。エムドゲインが骨を再生させる様子がわかります。
根の再炎症から歯を守る「歯根端切除術」
神経を取った歯でも、後に根の先に炎症が再発し、膿が溜まることがあります。再根管治療で改善しない場合、抜歯を提案されることも少なくありません。
こうしたケースに対しては、外科的に根の先端と膿の袋を除去する「歯根端切除術」により、歯を残せる可能性があります。
治療後は自然に骨が再生し、健康な状態を目指すことができます。
抜歯後、処置をして歯を戻す「意図的再植」
重度の炎症や根の病変により、他院で抜歯と診断された歯でも、残せる可能性があります。
「意図的再植」は、いったん歯を抜き、炎症部位を直接処置してから元の位置に戻す高度な治療法です。
短時間での処置と適切な管理により、歯の保存が期待できます。
根分かれ部分を守る「ルートセパレーション」
奥歯は根が複数に分かれていますが、歯周病が進むと根の分かれ目が露出し、歯石や汚れが溜まりやすくなります。
この部分は通常の器具では清掃が難しく、放置すれば抜歯につながることも。
「ルートセパレーション」は歯を2〜3に分割し、清掃しやすい形に整える治療法です。
処置後は被せ物を装着し、見た目や噛む機能も回復させます。歯を残すための有効な選択肢です。
被せ物を安定させる「クラウンレングスニング」
歯が大きく欠け、根だけが残った状態では、被せ物の装着が難しくなります。
このような場合に行うのが「クラウンレングスニング」です。
歯茎や周囲の骨を丁寧に削り、歯の根を十分に露出させることで、被せ物を安定して装着できるようにします。
歯の保存を第一に考える治療の一つです。
歯肉を切開し、歯根を露出させた状態。
被せ物を装着し、治療完了。
初診「個別」相談へのご案内
当院では、患者さんが抱えていらっしゃるお口のお悩みや疑問・不安などにお応えする機会を設けております。どんなことでも構いませんので、私たちにお話ししていただけたらと思います。
ご興味がある方は下記からお問い合わせください。

- 〒652-0872
兵庫県神戸市兵庫区吉田町2-40-6 - 神戸市営地下鉄海岸線
「御崎公園」駅3番出口すぐ