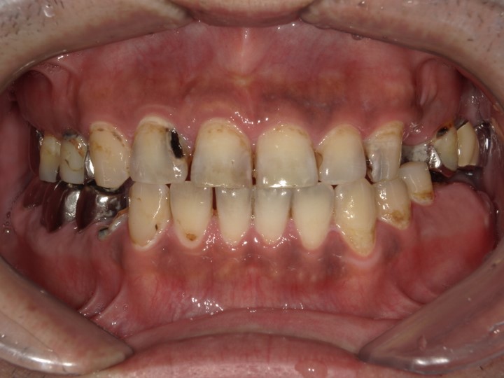
ボロボロの歯の治療

078-599-6474

WEB予約
キービジュアル

歯が「ボロボロ」だからこそ
短期治療をお勧めします

✅最短1日
睡眠無痛治療
  • 治療前
  • 治療後
  • 治療前
  • 治療後
  • 治療前
  • 治療後
  • 治療前
  • 治療後
  • 治療前
  • 治療後

コラム寝ている間に治療が終わる「睡眠無痛治療」

「怖い」「痛い」「苦しい」
そんな思いがあるから、なかなか歯医者に行けない。

そう感じている方にこそ知っていただきたいのが睡眠無痛治療(静脈内鎮静法)です。この方法は、医科の手術などでは一般的に使われていますが、歯科ではまだ多くの医院で導入されているわけではありません。

当院では、心と体の負担をできる限り軽くしたいという想いから、この方法を取り入れています。点滴から鎮静作用のあるお薬をゆっくりと投与すると、次のような状態になります。

・ほぼ眠っているような、ふわっとした感覚になる
・治療中の痛みや不快感をほとんど感じない
・気づいたときには、すでに治療が終わっている

実際に受けた多くの方が「いつ治療が始まったかも分からなかった」「こんなにラクに治療ができるなんて思わなかった」とおっしゃっています。歯科恐怖症の方、過去のトラウマがある方、強い嘔吐反射がある方にも安心して受けていただける方法です。

最短1日で治療終了。「短期×高品質」がテーマ

虫歯や歯周病が進行し、歯がボロボロになっている場合、通常は大がかりな治療が必要となり、治療期間は数か月~数年かかることもあります。しかし、当院では最短1回の来院で治療を終わらせられるケースもあります。

その根拠は「長期短期治療の根拠」「高品質治療の根拠」をご覧ください。

お口の状態別で、どのくらいの治療期間がかかるのかの目安をお伝えします。

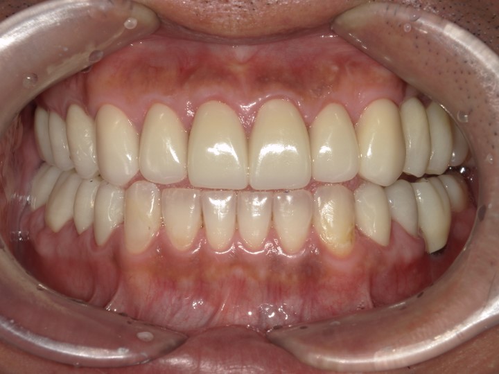
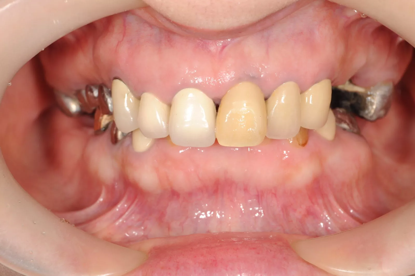
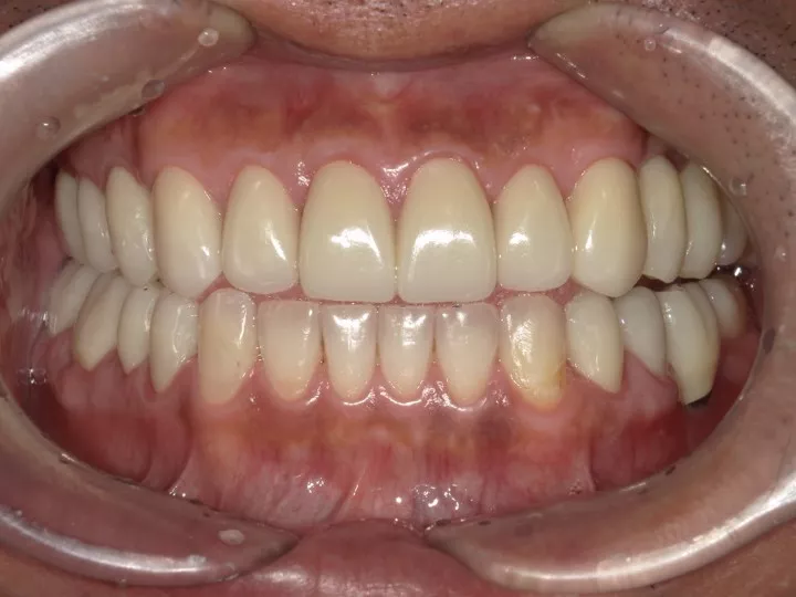
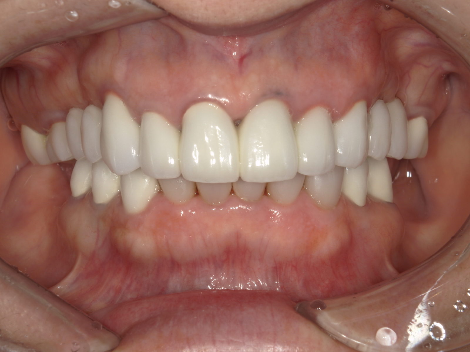
歯が抜けておらず、審美性の改善のみ

  • 治療前
  • 治療後
虫歯が広範囲にわたっているが、歯の欠損はなく、抜歯の必要もないケースの場合は、虫歯治療後にセラミック治療を行います。こちらの症例の場合、一般的な治療回数と、当院で行う場合の治療回数をお伝えします。

■一般的な治療回数:6~7回
■当院の場合:1回~2回

治療回数が半分以下になる大きな理由は下記になります。

1回の治療時間が2時間以上確保できる

一般的な歯科医院の場合、治療時間は15分~30分程度となりますので、治療できる範囲が限定されますので、どうしても治療回数が多くなってしまいます。しかし当院では1回の治療時間を2時間以上確保し一気に治療を進められるため、治療回数は大幅に減らすことができます。

セラミックの被せ物製作とセットが1日で終了

被せ物を製作する場合、通常、1回目で型取りをし、2回目来院時に出来上がった被せ物をお口にセットします。しかし当院ではCAD/CAMの機器が院内にあるため、型取りから製作そしてセットまで最短60分程で対応できる体制が整っていますので、その日のうちに治療を終えることができます。

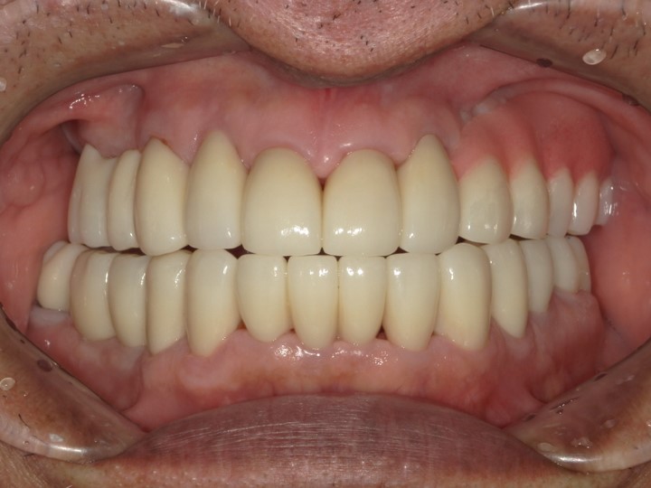
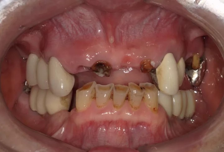
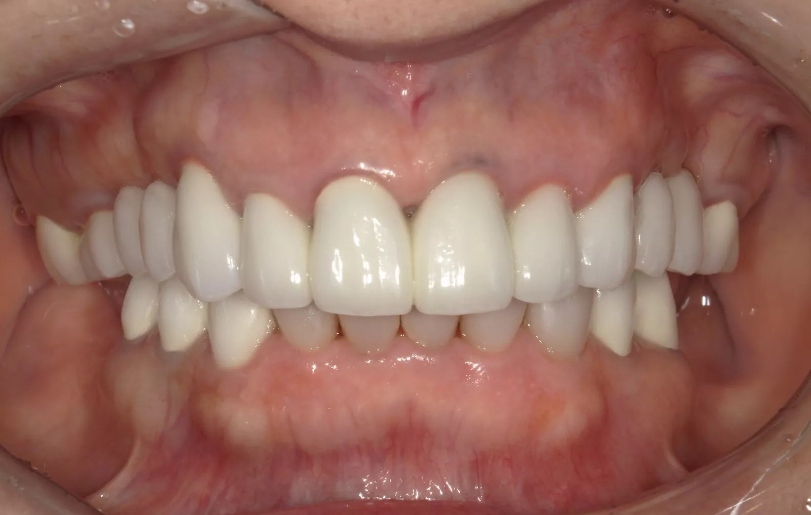
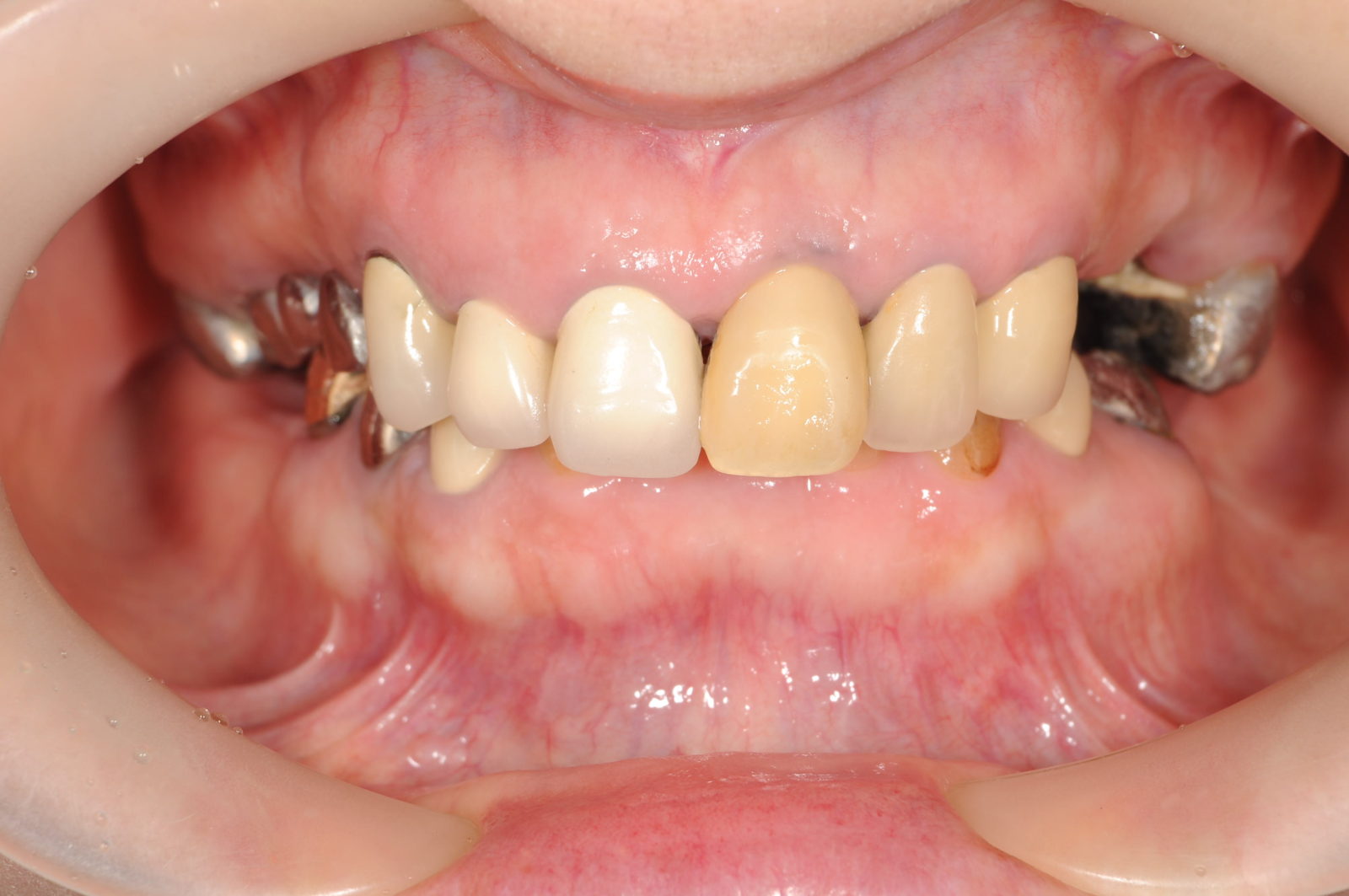
歯の欠損が一部ある場合

  • 治療前
  • 治療後
歯がすでにない場合や、どうしても抜歯が必要なケースの場合、インプラントや入れ歯、ブリッジなどの治療法にて失った歯を補う治療を行い、その他の歯を綺麗にする治療が必要となります。

■一般的な治療回数:7~8回
■当院の場合:2回~3回

このケースでポイントになるのが、失った歯を回復させる治療の治療回数や期間です。インプラント治療の場合、一般的には3回ほどの治療が必要となります。入れ歯であれば3回ほどです。

しかし当院ではどちらの治療法であっても1回で終わらせる術式もご用意しています。ご紹介します。

抜歯即時荷重インプラント

通常のインプラント治療では、抜歯後に傷の回復と骨の安定を待つため、数ヶ月の「歯のない期間」が生じていました。

しかし、「抜歯即時荷重インプラント」では、抜歯と同日にインプラント埋入・仮歯の装着が可能になります。これにより、治療期間を大幅に短縮できるだけでなく、歯ぐきの切開も不要なため、身体への負担も軽減されます。

1dayデンチャーシステム

患者さんと歯科医師、入れ歯専門の歯科技工士の日程を丸一日押さえて製作する特別な入れ歯です。おかげさまで大変人気のある治療プランになっています。しばらく先まで予約が入っていることがあるので、お早めの予約をお願いいたします。

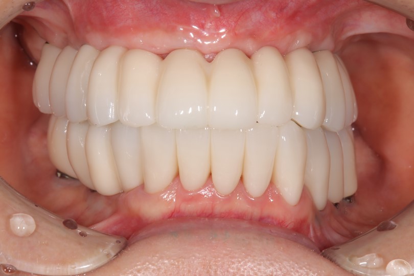
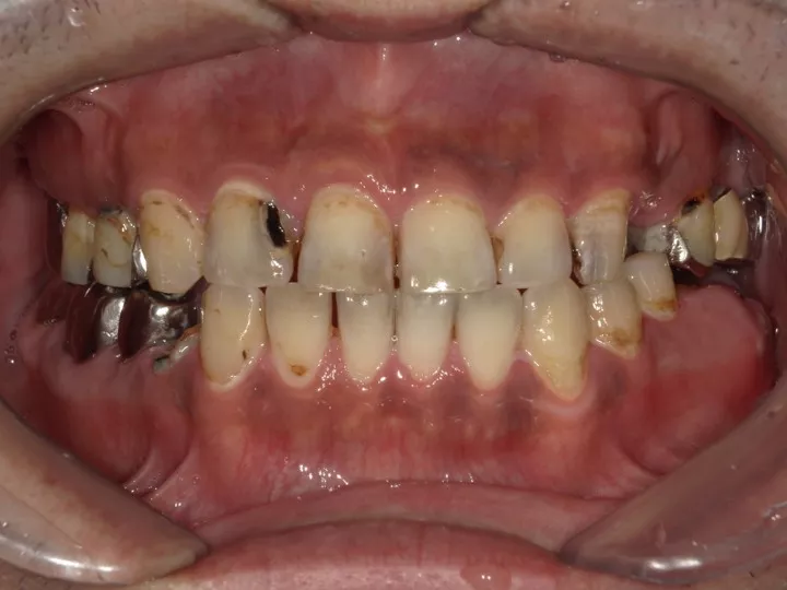
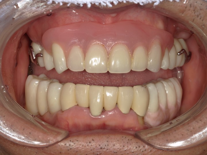
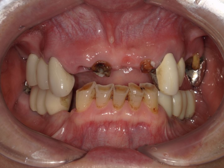
多くの欠損があり、虫歯や歯周病が広範囲で進行している場合

  • 治療前
  • 治療後
多くの歯が失われている場合、残っている歯の多くが抜歯が必要な場合はかなり大がかりな治療になります。また、この状態の場合、多くが噛み合せのバランスも崩れていることが多いため、数か月~数年単位の治療になることも少なくはありません。

しかし当院では、状態にもよりますが、次のような治療回数で治療を完了させることもあります。

■一般的な治療回数:8回以上
■当院の場合:3回前後

これを可能にするのが「オールオン4」という術式です。

1日で審美性と機能性を回復させる「オールオン4」

オールオン4(All-on-4)は、総入れ歯に代わる先進的なインプラント治療です。すべての歯を1本ずつインプラントで支えるのではなく、わずか4本のインプラントで全体の人工歯を支える仕組みです。

【こんな方におすすめ】

✅総入れ歯が合わず、食事や会話に悩んでいる
✅多くの歯を失ってしまった
✅インプラント治療を短期間・低負担で受けたい

【オールオン4のメリット】
✅手術当日に仮歯を装着できる(※即日荷重が可能な場合)
✅少ない本数で済むため、身体・費用の負担が抑えられる
✅入れ歯のような違和感が少なく、しっかり噛めて見た目も自然
✅骨が少ない方でも対応できるケースがある

長い間、歯の悩みを抱えていた方にとって、「もう一度、食事や会話を楽しめるようになる」そんな希望を叶える治療です。

初診「個別」相談へのご案内

当院では、患者さんが抱えていらっしゃるお口のお悩みや疑問・不安などにお応えする機会を設けております。どんなことでも構いませんので、私たちにお話ししていただけたらと思います。
ご興味がある方は下記からお問い合わせください。

お問い合わせ・ご予約は

078-599-6474

WEB予約
  • 〒652-0872
    兵庫県神戸市兵庫区吉田町2-40-6
  • 神戸市営地下鉄海岸線
    「御崎公園」駅3番出口すぐ