根管治療

078-599-6474

WEB予約
キービジュアル
治療回数は「1~2回」

成功率90%以上
再発を防ぐ「米国式」根管治療

「セカンドオピニオン」にも対応しています。
  • 「マイクロスコープ」で精密治療
  • 「ラバーダム」で再感染防止
  • 「MTAセメント」で神経を守る
  • 「レーザー」で根管内を殺菌
  • 治療前
  • 治療後
■主訴:右下の奥歯が冷たいものでしみる、何もしなくてもズキズキする
■詳細:当院の歯内治療専門医による根管治療(抜髄)、NiTiファイル用いて根管を拡大形成、根管洗浄したのちにバイオセラミックシーラー(MTA系)を用いて根管充填、支台築造
■治療期間:治療開始から二回の来院で処置終了。間は一週間あける。一回の治療は約一時間半程度
■治療費:14.3万円 (上部構造は別)
■治療のリスク:一般の保険医による治療に比べるとはるかに可能性は低いが、歯が薄くなるので破折のリスクが上がる
  • 治療前
  • 治療後
■主訴:他院で治療した右上の前歯にズーンとした違和感がある たまに噛むと痛い
■詳細:当院の歯内治療専門医による歯根端切除術(外科的歯内療法)。歯根端を切除、逆根管形成後MTAを充填。
■治療期間:治療開始からは一回の来院のみ、一時間半ほど。
■治療費:14.3万円 (当医院で二年以内に自費根管治療している場合は半額)
■治療のリスク:歯根が短くなることにより動揺が出る恐れがある

注目「1〜2回」で治療完了。
専門医による精密根管治療

「短期」集中治療

治療回数は「1~2回」。
1回あたりの診療時間をしっかり確保することで、根管治療も短期間で完了する体制を整えています。

専門性に裏付けられた「高品質」な治療

当院では、根管治療の専門グループであるPESCJ(Penn Endo Study Club in Japan)「認定医が在籍
世界的に評価されるペンシルベニア大学の臨床技術に基づいた、質の高い治療を提供しています。

また、マイクロスコープやCTといった精密機器を始め、ラバーダム、MTAセメントなどを使用し、精密な根管治療を実践しています。

根管治療を担当するドクターたち

兼松 美帆

兼松 美帆
経歴
徳島大学歯学部 卒業
徳島大学病院 研修医
兵庫区神戸松田歯科医院 勤務
資格・所属学会・団体
  • 厚生労働省公認臨時研修施設 指導歯科医
  • Straumann Basic Implantology cource
  • 歯周再生療法とPeri-implantitis治療にErbium Laserを応用するために必要なベーシックハンズオンセミナー
  • CEセミナー
  • CLINICAL DENTISTRY TRANING COURSE(CDTC)
  • Strauman Basic Implantology
  • The essential points of Implant Prosthetics
  • CAD/CAM occlusal Adjustment Training
  • Approach to Edentulous cases Strauman Over denture
  • Sweden&martina Implantology
  • サティフィケイト
  • サティフィケイト
  • サティフィケイト
  • サティフィケイト
  • サティフィケイト
  • サティフィケイト
  • サティフィケイト
  • サティフィケイト
  • サティフィケイト
  • サティフィケイト
  • サティフィケイト
  • サティフィケイト
  • サティフィケイト
  • サティフィケイト
  • サティフィケイト
  • サティフィケイト
  • サティフィケイト
  • サティフィケイト

松田 隆宏

松田 隆宏
経歴
大阪歯科大学卒業
京都大学医学部附属病院 歯科口腔外科にて研修医・医員
神戸市兵庫区・松田歯科医院に勤務
資格・所属学会・団体
  • 厚生労働省公認臨時研修施設 指導歯科医
  • 日本口腔インプラント学会会員Straumann Basic Implantology cource受講
  • 第17回 CAD/CAM Preparation Training (Dr.風間龍之輔)
  • CAD/CAM One Day Treatment (Dr.風間龍之輔)
  • CAD/CAM オールセラミック修復 成功のポイントと口腔内スキャナーで始めるDigital Dentistry (Dr.風間龍之輔)
  • 生涯歯を守るための歯頚部予防治療のマネジメント(Dr.柏田聰明)
  • うまく作れる総義歯治療の基本(Dr.前畑香)
  • 自信を持って成功と言えるエンド~7つのポイント~(Dr.木ノ本喜史)
  • 病態生理を踏まえた睡眠時ブラキシズムに対するスプリントの臨床的役割(Dr.加藤隆史)
  • 満足度の高い審美 All-on-4治療 デジタルソリューションの臨床応用(Dr.橋村吾郎)
  • Erbium Laser の基礎と臨床~カリエス治療から最新歯周再生治療まで 臨床応用の可能性(Dr.山本敦彦)
  • 審美部位における TLと BLの臨床(Dr.中島康)
  • 再生療法サミット in Tokyo
  • パーシャルデンチャー設計の考え方と臨床~ノンメタルクラスプデンチャーを含む設計の要件と成功の勘所(Dr.谷田部優)
  • 2018年大阪 SJCDベーシックコース(第32期)
  • 第7回 SAFE学術大会 補綴・技工的合併症(インプラントのトラブルヘキサゴン)
  • 押さえておきたい歯周再生のポイント(Dr.船越栄次)
  • CEセミナー・ニューベーシックコース第48期
  • 2019年大阪 SJCDレギュラーコース
  • 第1回DGPコース( JIADS Digital Global Prosthodontics ) ~デジタル時代を見据えた補綴治療
  • CREDセミナー( Comprehensive Restoratire & Esthetic Dentistry Hands-on Seminar in Kobe)
  • サティフィケイト
  • サティフィケイト
  • サティフィケイト
  • サティフィケイト
  • サティフィケイト
  • サティフィケイト
  • サティフィケイト
  • サティフィケイト
  • サティフィケイト
  • サティフィケイト

成功率90%以上の「米国式」根管治療

日本では、根管治療の成功率は高くても50%前後と言われています。
一方で、欧米では90%以上の成功率が一般的。その差は、使用される技術や器具、診療体制にあります。
日本の保険診療では、治療に必要な時間や器具が制限され、再治療や抜歯を余儀なくされるケースも少なくありません。

当院では、ペンシルベニア大学の治療技術に基づいた「米国式」の根管治療を採用。
専門医による精密な診断・治療、先進機器の導入により、90%以上の高い成功率を実現しています。

次に、その具体的な特徴をご紹介します。
  • 「CT」で複雑な根管を可視化
  • 「マイクロスコープ/高倍率ルーペ」で狭い根管を確認
  • 「ラバーダム」で再感染防止
  • 「ニッケルチタンファイル」で感染部位を除去
  • 「Er-YAGレーザー」で殺菌
  • 「EDTA/次亜塩素酸ナトリウム」で殺菌洗浄
  • 「MTAセメント」で細菌の侵入を防ぐ

「CT」で複雑な根管を可視化

従来のレントゲンでは見えない神経や血管の位置、骨の厚みまで立体的に把握できる「CT」を活用。
360度から撮影可能なため、問題部位の見落としを防ぎます。
根管治療において、治療部位の「視覚化」は成功率に直結する非常に重要なステップです。

「マイクロスコープ/高倍率ルーペ」で狭い根管を確認

根管は直径1mm未満のこともあり、複雑で非常に狭いため、肉眼だけでの処置には限界があります。
そこで歯科用顕微鏡「マイクロスコープ」や「高倍率ルーペ」を使用。
患部を十数倍に拡大して視認できるため、感染組織の取り残しを防ぎ、治療精度が飛躍的に向上します。

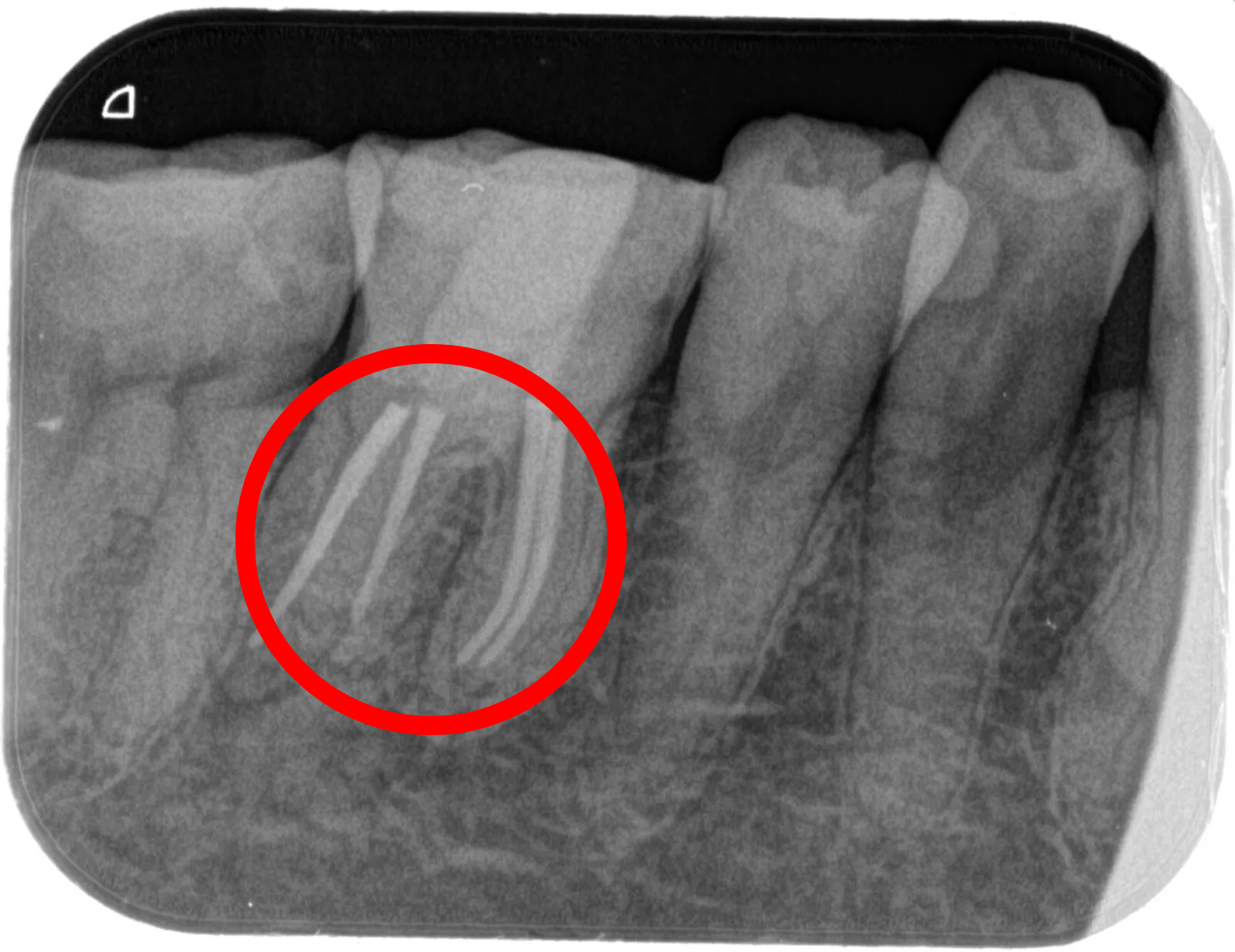
なお、下の画像をご覧ください。歯の内部に黒く細い線が見える部分が「根管」です。
根管は非常に細く、湾曲し枝分かれしているところも多く、その複雑さが一目でわかると思います。

「ラバーダム」で再感染防止

根管治療の成功には、根の中をどれだけ「無菌状態」に保てるかが大きなカギとなります。

そこで活躍するのが「ラバーダム」です。ゴム製のシートで治療部位以外を覆うことで、唾液や細菌の侵入を防ぎます。

また、患部の視野を確保しやすくなり、器具や薬剤が喉に流れ込むのも防げるため、精度と安全性の両面で非常に有効です。

「ニッケルチタンファイル」で感染部位を除去

根管内の感染組織を除去する際には、「ファイル」と呼ばれるヤスリ状の器具を使用します。
一般的に使われるステンレス製のファイルは硬く、複雑に曲がった根管には届きにくいことがあります。

当院では、柔軟性に優れた「ニッケルチタンファイル」を採用。
曲がりくねった根管にもフィットし、感染源をしっかりと取り除くことが可能です。

「Er-YAGレーザー」で殺菌

当院では、歯科用レーザー「Er-YAGレーザー」を活用。
レーザーの光には強い殺菌作用があり、複雑な根管内でも効果的に細菌を除去できます。
これにより、治療後の再発リスクを抑え、成功率の向上につながります。

さらに、レーザーには歯質を強化する働きもあり、治療後の歯の耐久性を高めるメリットもあります。

「EDTA/次亜塩素酸ナトリウム」で殺菌洗浄

ファイルで感染部位を削り取った後も、根管内には細かな削りカスが残ることがあります。
これには虫歯菌が付着しており、放置すれば再発の原因に。

そのため当院では、殺菌作用を持つ「EDTA」や「次亜塩素酸ナトリウム」を使用し、根管内を丁寧に洗浄しています。

これにより、削りカスを溶かし出し、根管内を清潔な状態に保つことで、治療の成功率を高めています。

「MTAセメント」で細菌の侵入を防ぐ

根管内を殺菌洗浄したあとは、空洞となった部分に「MTAセメント」という充てん剤を使用します。
高い封鎖性と殺菌力を持ち、再感染のリスクを抑えながら、歯の内部をしっかり補強します。

✅ 細菌が入り込むすき間を作らない高い密閉性
✅ 強い殺菌力で再発を予防
✅ 高い強度で歯を内側から支える

こうした特性により、高い成功率を実現しています。

コラム「セカンドオピニオン」にも対応

根管治療に関するご相談を多くいただいています。

✅何度治療しても再発する
✅長期間通院しているが治らない
✅抜歯と言われたが、できれば残したい

こうしたお悩みに対し、当院では「セカンドオピニオン」を実施。
現在の治療方針が本当に正しいのか、他の選択肢はないのかなどのご相談に対応しています。
まずはお気軽にご相談ください。

初診「個別」相談へのご案内

当院では、患者さんが抱えていらっしゃるお口のお悩みや疑問・不安などにお応えする機会を設けております。どんなことでも構いませんので、私たちにお話ししていただけたらと思います。
ご興味がある方は下記からお問い合わせください。

お問い合わせ・ご予約は

078-599-6474

WEB予約
  • 〒652-0872
    兵庫県神戸市兵庫区吉田町2-40-6
  • 神戸市営地下鉄海岸線
    「御崎公園」駅3番出口すぐ