インプラント「専門医」が在籍
2つの「短期」を実現
オペ時間×治療期間
もちろん、高品質
✅2~3本であれば1時間で帰宅可能
✅オペ当日に噛める術式あり
| 主訴 | 左上の歯がないところにインプラントをしてほしい |
| どのように治療したのかの具体的な説明 | まずインプラントを埋入するための骨が足りなかったので骨を増やすためのサイナスリフト(副鼻腔の粘膜を持ち上げて骨を厚くする処置)をしたのちに左上欠損部にインプラント2本埋入、補綴 |
| 治療期間 | 最終補綴物が入るまでに約一年 精密仮歯が入るまで約11か月 |
| 治療費 | サイナスリフト~最終補綴までで133.1万円 静脈内鎮静するなら都度+11万円 |
| その治療をすることで起こり得るリスク | 当医院では考えにくいですが、手術跡の感染、インプラントの上顎洞への迷入等のリスクは0ではありません。 |
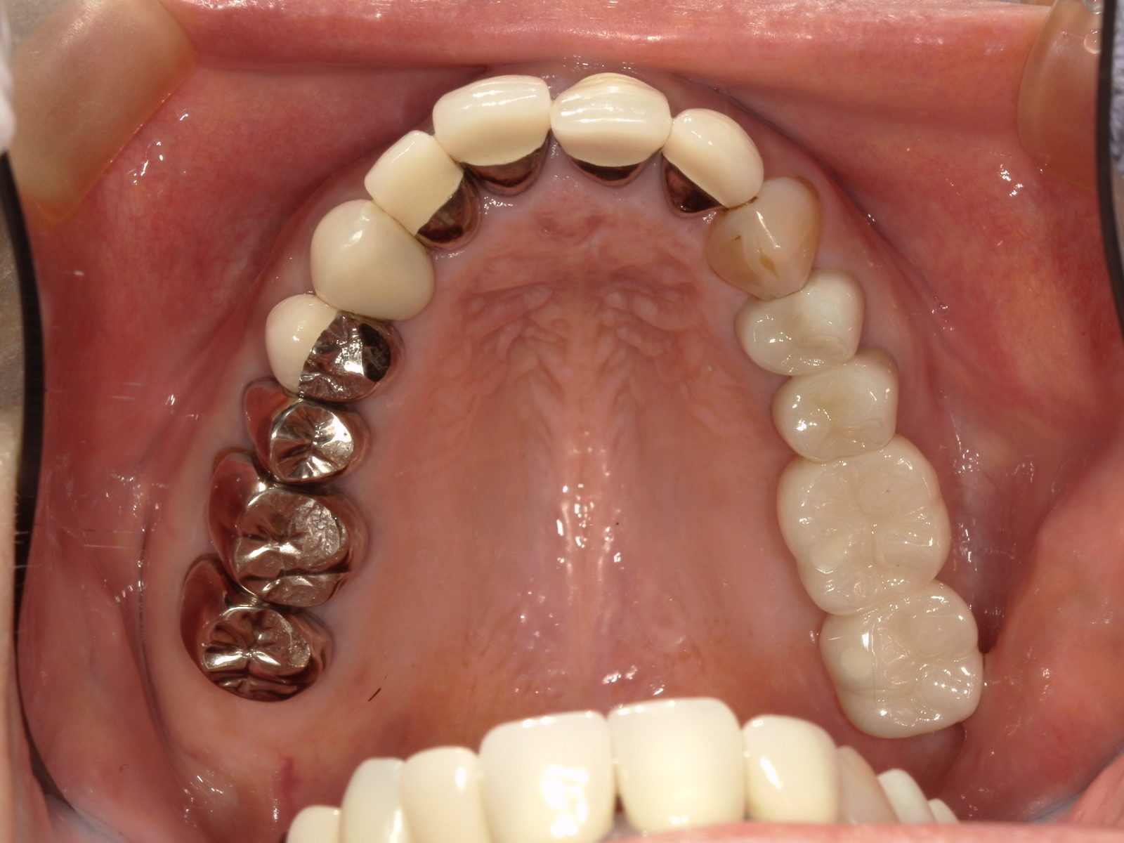
| 主訴 | 右下の奥歯にインプラントをしてほしい |
| どのように治療したのかの具体的な説明 | 右下6にインプラント埋入 |
| 治療期間 | 3ヶ月ほど |
| 治療費 | 48万円 |
| その治療をすることで起こり得るリスク | 不適切なポジションに埋入してしまうと歯の清掃性や咬合の機能に問題が生じ予後が悪くなるリスクあり |
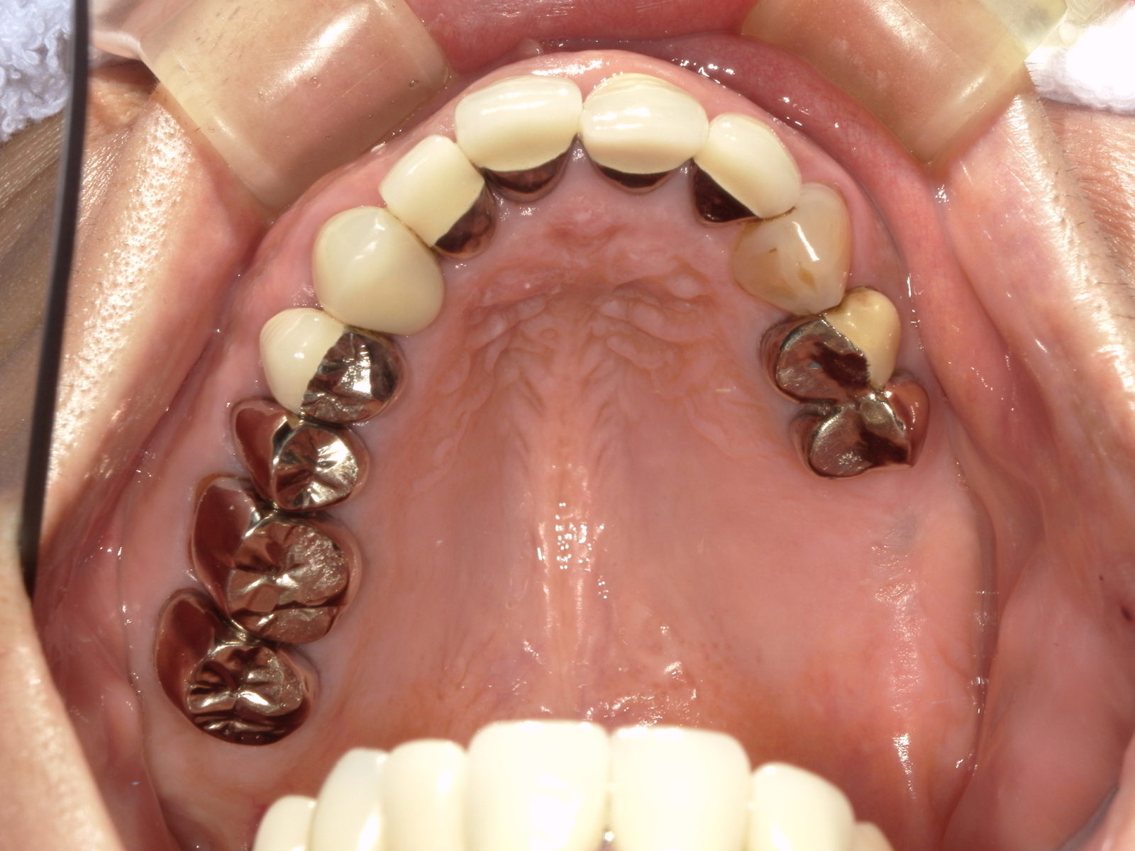
| 主訴 | 左上の前歯にインプラントをしてほしい |
| どのように治療したのかの具体的な説明 | 左上1の欠損部に小規模の骨を増やす処置(マイナーGBR)行い、インプラント埋入 |
| 治療期間 | 3か月ほど |
| 治療費 | 63.8万円 |
| その治療をすることで起こり得るリスク | 不適切な位置にインプラント埋入してしまうと歯茎のラインが合わなくなるリスク有 |
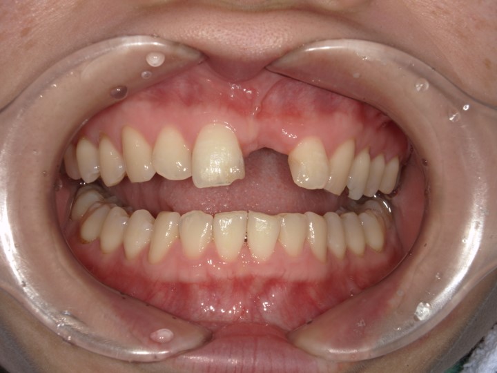
| 主訴 | 右上の前歯が折れた |
| どのように治療したのかの具体的な説明 | 右上1抜歯と同時にマイナーGBR併用しインプラント埋入 インプラントのローディングを仮歯で待ってからインプラント上部構造装着 |
| 治療期間 | 最終補綴入るまでは約2か月 仮歯は即日装着 |
| 治療費 | 69.3万円 |
コラムウトウトしている間に治療が終わる「睡眠無痛治療」
インプラント治療には、外科手術が伴います。痛みを抑える工夫についてお伝えしても、やはりそれでも「怖い」と感じる方もいるでしょう。
そのようなお悩みをお持ちの患者さんにおすすめしているのは、「睡眠無痛治療(静脈内鎮静法)」です。鎮静剤を点滴で入れることで、患者さんはすぐにウトウトしている状態になります。その間に治療を行うので、痛み、恐怖心などを感じずに治療を終えることができます。
皆さん「気づいた時には治療が終わっていた」とおっしゃいます。
この治療法は、提携している専門の麻酔科医が担当いたします。 安全性を最優先した体制で「睡眠無痛治療」を行っておりますので、歯科治療に強い不安をお持ちの方も安心してお任せください。
「2つの短期」を実現。オペ時間×治療期間を短縮
インプラント治療は、失った歯を補うための治療方法です。インプラント体をあごの骨に埋める治療となり、一般的な歯科治療よりもオペ時間や治療期間が長くなる傾向があります。
期間が長くなればなるほど、患者さんの負担は増加しますので、当院では「どちらの期間も短縮」させる取り組みを行っています。もちろん品質は落とさずにです。
「オペ時間の短縮」と「治療期間全体の短縮」に関して具体的にお伝えします。
「オペ時間を短縮」させる取り組み
オペ時間が長いと、患者さんの肉体的、精神的負担が増加します。何本のインプラントを埋入するかによってかかる時間は異なりますが、当院では2~3本のインプラントを埋入する場合、医院に来院されてからご帰宅いただくまで約60分ほどになりますので、お昼休み中にオペを実施する方もいらっしゃいます。具体的な取り組みをご紹介します。
Xガイドシステムの活用
当院では、X-Guide(エックスガイド)システムを導入しています。手術前に実施したシミュレーションを基に、骨内の神経や血管を避けながら、実際の手術を行うことができるため、人的ミスによるリスクを最小限に抑えることができます。
また、手術時にリアルタイムでインプラントを埋入する位置や角度などの情報を提供してくれるので、ナビゲーション通りに手術を行うだけで済みます。そのため、手術時間が大幅に短縮され、患者さんの心身の負担を軽減できます。
切らない+縫わない「フラップレス」
通常のインプラント治療では、歯肉を切開し顎骨を露出させた状態でインプラントを埋入しますのでオペ時間がながくなります。しかし、「フラップレスインプラント」という術式を活用すると、歯肉を切開せずにインプラント埋入が可能になるため、オペ時間も大幅に短縮されます。また、この方法では歯肉を切開しないため、処置後の縫合も不要なので治療後の腫れの軽減効果もあります。
インプラント「専門医」が監修
当院には日本口腔インプラント学会「専門医」が在籍しています。多くの症例を経験しています。多くの症例を経験することで、自ずとオペ時間は短縮されます。また、骨造成等の難症例も多く経験しているため、そのような場合であっても一般的なオペ時間よりも短い時間で対応可能です。
「治療期間を短縮」させる取り組み
治療期間を短縮させるために、利用するメーカーの厳選、そして術式の選択がポイントになります。それぞれご紹介します。
SLAストローマンインプラント
インプラントメーカーは数百ありますが、当院では世界No.1シェアを誇るストローマン社製の「SLAインプラント」を使用しています。このインプラントは骨との結合率が高く、体への適合性に優れていることが特徴です。通常のインプラントでは骨への定着に2~3ヶ月を要しますが、SLAインプラントなら約3~4週間での定着が可能です。これにより、治療期間を大幅に短縮することができます。
その日に歯が入る術式「抜歯即時荷重/All-on-4」
通常のインプラント治療では、抜歯後に傷口が癒え、骨が安定するのを数ヶ月待ってからインプラントを埋入します。その間、患者さんは「歯がない期間」を過ごすことになり、食事や見た目に不便を感じるケースも少なくありません。
この不便を解消するのが、「抜歯即時荷重インプラント」です。この治療法では、歯を抜いたその日にインプラント体を埋入し、仮歯を装着するため、治療初日から見た目も機能も回復できますし、数か月の待機期間もないため、全体的な治療期間が短縮されます。
さらに、次のようなメリットもあります。
✅骨造成が不要になるケースが多く、治療期間が短縮される
✅歯ぐきの切開が不要で、痛みや腫れが最小限に
また「即時荷重」のもう1つの術式として
オールオン4(All-on-4)という治療法があります。4本のインプラントですべての歯を支える治療法で、総入れ歯の方、歯がほとんどない方、歯がボロボロの方にお勧めしている治療法です。この治療法もオペ当日に仮歯が入る術式で、欠損した歯の本数分のインプラント埋入を実施するよりも、
治療期間や治療費を大幅に軽減できる治療法です。詳細は
オールオン4をご覧ください。
院内に「歯科技工士」が常駐
当院では、院内に歯科技工所を併設し、専属の歯科技工士が8名在籍しています。
中には、インプラントやセラミックの製作を専門とする技工士もおり、各分野に特化したプロフェッショナルが治療を支えています。
インプラント治療では、見た目の自然さ・噛み合わせの精度・装着の快適さが求められます。院内に技工士がいることで、医師・患者・技工士の三者がリアルタイムで連携できる環境が整っておりますので、次の対応が可能です。
✅治療中にその場で微調整や色味確認ができる
✅完成までの工程がスムーズになり、治療期間が大幅に短縮される
「できるだけ早く、クオリティの高い仕上がりでインプラントを入れたい」そんな患者さまのご希望を、院内完結型のインプラント体制で実現しています。
その他、各種精密機器で「期間と治療の質」を担保
よりオペ時間や治療期間を短縮させ、かつ、治療精度を向上させるため様々な精密機器を導入しています。
マイクロスコープ
「マイクロスコープ」は、歯科用の顕微鏡で、患部を十数倍に拡大して観察することが可能な機器です。この顕微鏡を使用することで、手術中に拡大した患部を観察しながら治療を行うことができ、その結果、高い精度と正確性を備えた治療が可能です。
CT
インプラント治療においては、歯を支える骨に埋め込むために骨の構造を正確に把握することが不可欠です。この際に使用されるのが「CT」で、360度回転しながら撮影することで、立体的で鮮明な画像を得ることができます。
これにより、血管や神経の位置を確実に把握し、安全性の高いインプラント治療を実現できます。
ピエゾサージェリー
「ピエゾサージェリー」は超音波の振動を利用して硬い組織(骨など)のみを切開できる装置です。歯茎や血管を傷つけずに治療を行うことができるので、患者さんへの負担を軽減できます。
治療後も安心の「10年保証サポート」
当院では、歯科治療保証会社である「ガイドデント」と提携しています。当院で治療を受けた方のインプラント体を、埋め込み手術日から10年間保証するというものです。
インプラント体・上部構造 共に保証してくれます。ガイドデントの保証プランには以下の特長があります。
【予期しない損傷や失落に対する保証】
通常のインプラント治療の保証では、予測不可能な事故によるトラブルは対象外とされることがあります。しかし、ガイドデントの保証では、インプラントが偶発的な事故で損傷したり失落したりした場合でも、保証限度額に到達するまで、無償で保証、修復治療を行うことができます。
【引っ越し後も国内の加盟歯科医院でサポート】
通常の治療の保証では、治療を受けた歯科医院に限定されますが、「ガイドデント」の保証では、国内のガイドデント加盟歯科医院であれば、保証を受けられます。
治療を終えた後、引っ越しをすることがあっても、患者さんは安心してメンテナンス等を継続できます。
コラム他院で治療を断られた方へ
インプラント治療を断られるケースがあります。特に多いのが「あごの骨が足りない」という理由です。しかし、当院では「骨造成」と呼ばれる顎の骨を増やす処置を行うことで、インプラント治療ができるケースがございます。また、骨造成を行わなくともインプラント治療ができる術式もあります。
他院でインプラント治療を断られた方は、諦める前に、まずは当院へご相談ください。
初診「個別」相談へのご案内
当院では、患者さんが抱えていらっしゃるお口のお悩みや疑問・不安などにお応えする機会を設けております。どんなことでも構いませんので、私たちにお話ししていただけたらと思います。
ご興味がある方は下記からお問い合わせください。

- 〒652-0872
兵庫県神戸市兵庫区吉田町2-40-6 - 神戸市営地下鉄海岸線
「御崎公園」駅3番出口すぐ