矯正治療

医療法人社団 松田歯科医院
8:30から受付中078-681-0418
24時間WEB予約
キービジュアル

相談+調整料+保定料=0円

画像

大人の矯正
透明な「インビザライン/インビザラインGo

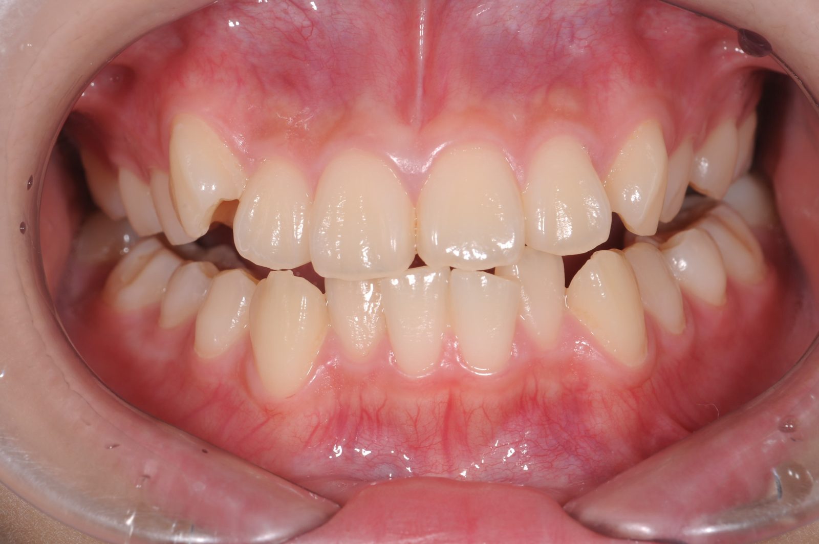
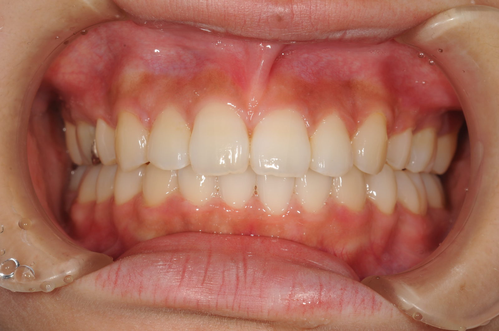
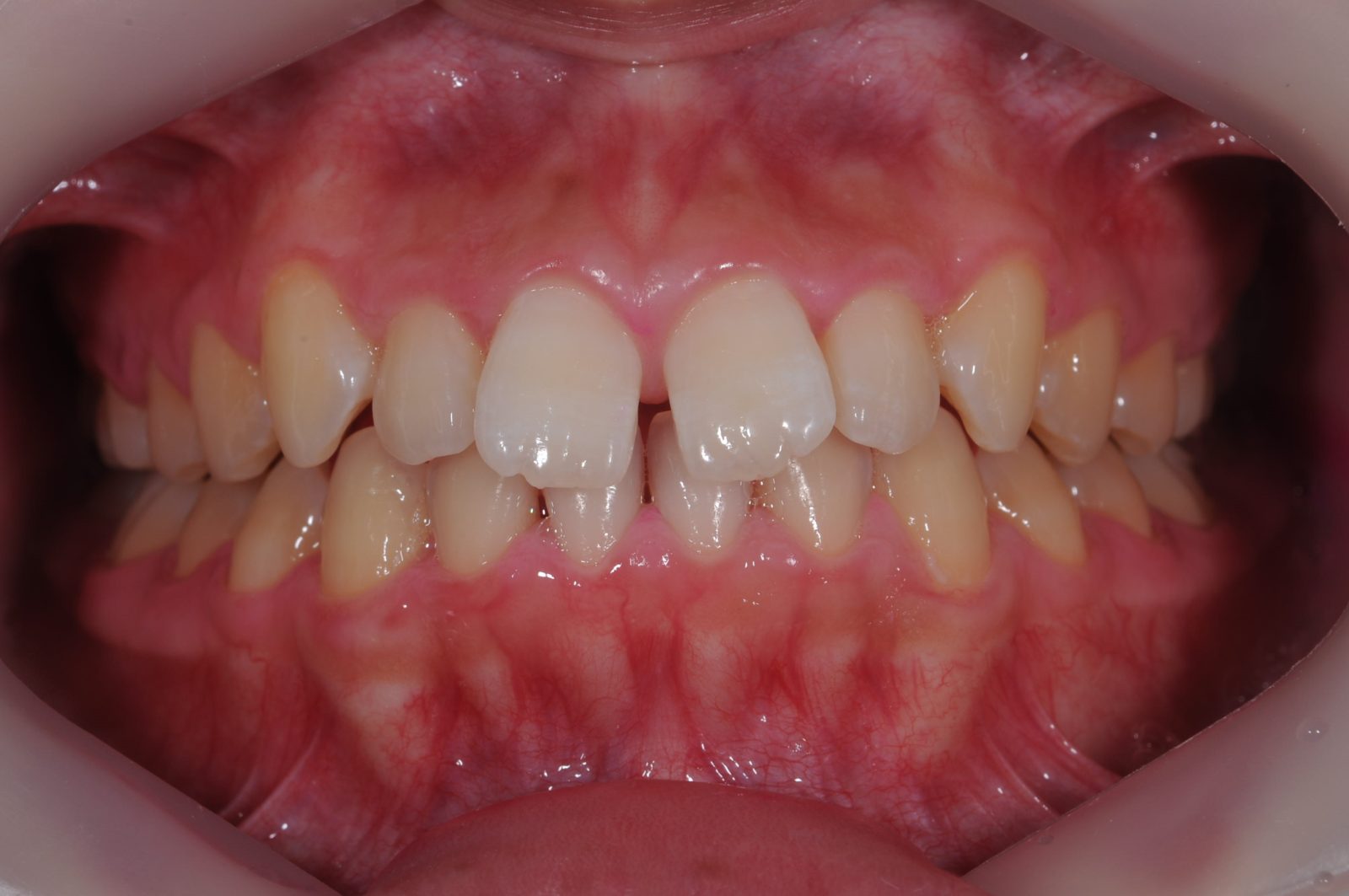
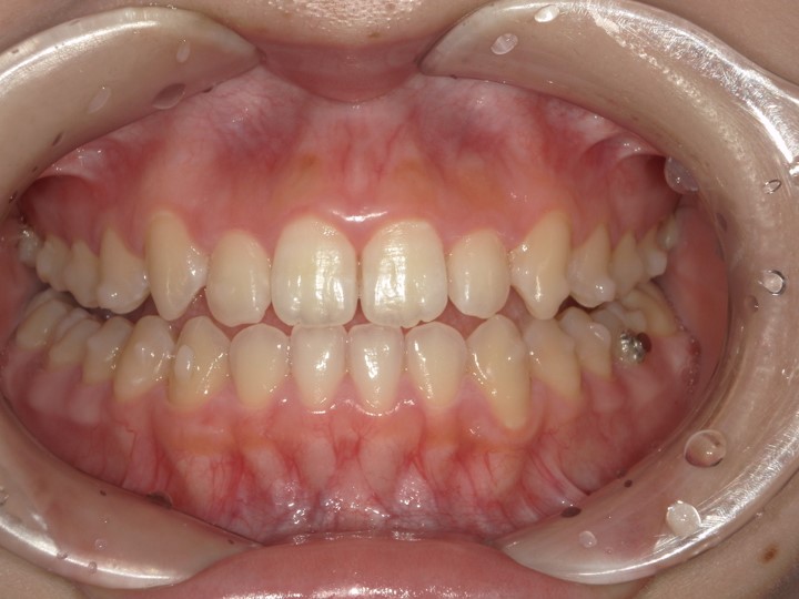
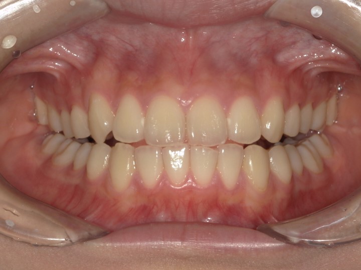
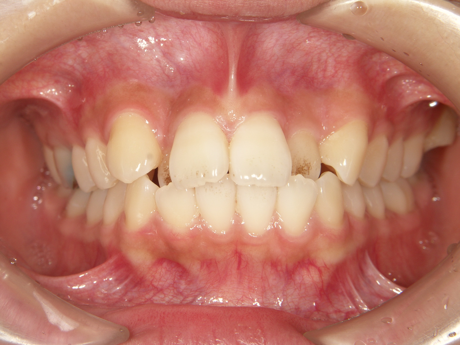
  • 治療前
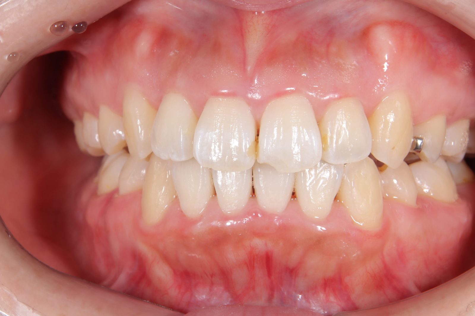
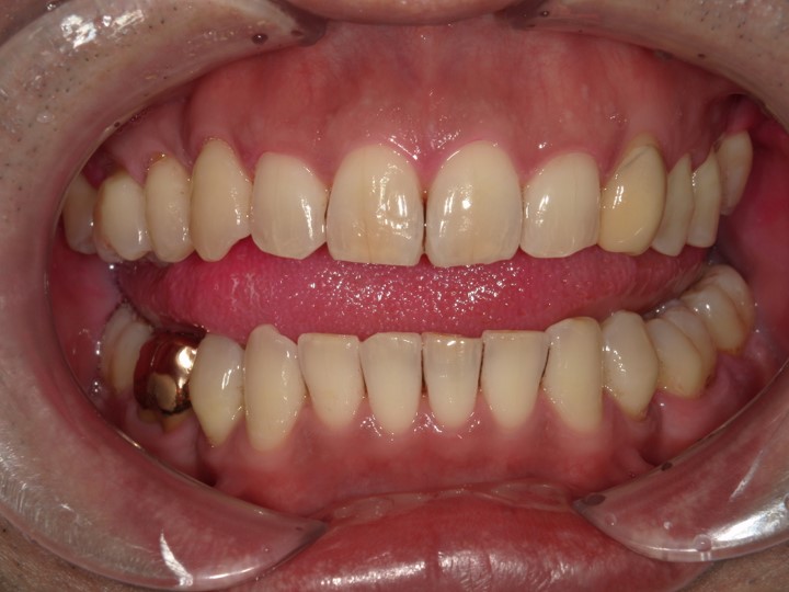
  • 治療後
  • 治療前
  • 治療後
  • 治療前
  • 治療後
  • 治療前
  • 治療後
  • 治療前
  • 治療後
  • 治療前
  • 治療後
主訴歯並びが気になる、噛みにくい、磨きにくい
どのように治療したのかの具体的な説明全てインビザラインにて矯正治療。スペースが足りないケースに関しては歯を薄く削るディスキング、抜歯伴う矯正行っている。矯正後必要に応じて補綴処置。
治療期間矯正治療は、動かした後歯をその位置で固定する保定期間も合わせて平均2年間。
治療費インビザライン121万円(月の管理料、再印象時当にかかる費用はなし)
その治療をすることで起こり得るリスク骨形態を逸脱した矯正を行ってしまうと歯が動揺したりするリスク有

子供の矯正
夜に装着するだけの「ネオキャップ

画像
矯正歯科の無料相談

患者さんのニーズにお応えする治療プランのご提供

歯並びについてお悩みの患者さんは非常に多いです。例えば、次のような悩みをお持ちの方はいらっしゃいませんか。

・目立ちにくい装置で治療したい
・気になる前歯だけ治療したい
・子供の歯並びが気になっている

などなど、患者さんによってお悩みはさまざまです。当院では、こうしたお悩みに可能な限り対応できるよう治療プランをご提案しています。それぞれ気になる該当箇所ご覧ください。

子供の矯正

画像

当院では、「ネオキャップ・ビムラー」と呼ばれる装置を使用した矯正治療を行っています。ネオキャップ・ビムラーはネオキャップという取り外し不可の装置と、ビムラーという取り外し可能な装置を併用する治療法です。

具体的には、ネオキャップと呼ばれる「白い被せ物」を乳臼歯に被せ、上下の歯を嚙み合わせ時の「高さ」を調節することで、お口の中を広げていきます。こうすることで、舌や唇の筋肉を自然と鍛えることにつながります。

舌や唇の筋肉を鍛えることと、歯並びを整えることは関係ないように思われるかもしれませんが、実は、歯というのは、舌や唇などのお口の周辺の筋肉のバランスに合わせて並んでいきます。そのため、このネオキャップを使用し、お口周りの筋肉を鍛える必要があるのです。

ネオキャップでお口周りの筋肉を鍛えながら、ビムラーを使用して、お口の中の「広さ」を調整し、歯が綺麗に並ぶようにしていきます。

ネオキャップ・ビムラー矯正の「特徴」

ネオキャップ・ビムラー矯正は、従来の金属製ワイヤーや歯に取り付けるブラケットなどを使用しないため、お子さんにとってメリットの多い治療法です。それぞれご紹介します。

特徴1装着時間は「夜」だけ

画像

矯正治療と聞くと、常に矯正装置を装着するイメージがあるかもしれません。しかし、ネオキャップ・ビムラーは、夜の就寝時に着用するだけで歯並びを改善するとができます。

そのため、日中の学校や外出時には装置を付ける必要がなく、友達なども普段通りに楽しむことができます。
※治療期間を短縮したい場合は、学校から帰宅後の装着を推奨しています。

特徴2治療を行えるのは「公式認定」された医院のみ

画像

ネオキャップ・ビムラーは、国際機能矯正臨床研究会(IFOCS)の公認を受けた歯科医院でしか治療を行うことができません。これには、厳しい審査をクリアし、認定医の資格には毎年更新が必要になります。
こうした厳格な基準により、患者さんに安心した治療を提供しております。

特徴3痛みが「少ない」ため子供でも安心

画像

ネオキャップ・ビムラーは歯に対して強い力をかけないため、「痛み」を最小限に抑えることが可能です。

特徴5「抜歯」を回避した治療が受けられる

画像

矯正治療はケースによっては「抜歯」を行うことがあります。しかし、ネオキャップ・ビムラーは従来の矯正治療とは異なるアプローチで治療を行うため、基本的には抜歯はしません。
※ただし、ケースによっては抜歯が必要になることがございます。

特徴6「顎のバランス」を整え、カッコイイ/可愛い顔貌へ

画像

ネオキャップ・ビムラーは、上顎と下顎の歯を同時に矯正することができるので、顎のバランスを整えながら治療を進めることが可能です。
その結果として、顔の形状も整えることができ、いわゆる「カッコイイ顔」や「綺麗な顔」へ導くことが可能です。

特徴7取り外しできるから「虫歯」になりにくい

画像

一般的な矯正装置は取り外しができないため、汚れが付着しやすく、矯正治療中は虫歯リスクも高まる傾向にあります。

しかし、ネオキャップ・ビムラーは自分で取り外しができるため、お子さんでもセルフケアがしやすく、虫歯のリスクも軽減できます。

特徴8治療後の「後戻り」のリスクが少ない

画像

ネオキャップ・ビムラーは「歯並びの悪化の根本原因(口周りの筋肉のバランス不良)」に対処するものであるため、治療完了後の歯並びの後戻りリスクが低減します。

大人の矯正

大人の矯正は審美性や治療期間の短縮等、さまざまなニーズがあります。当院では、大人矯正治療ならではのニーズにお応えできる「インビザライン」による矯正治療を行っています。

インビザラインは世界シェアNo.1のマウスピース型矯正装置で、これまで世界で1600万人以上の使用実績があります。幅広い症例に対応しており、世界中のドクターから信頼されています。インビザラインの特徴は次の通りです。

  • 画像
  • 画像

特徴1自分で「取り外し」ができます

画像

インビザラインは従来の矯正装置とは異なり患者さん自身で取り外しが可能です。そのため、食事の制限や、歯磨きのしづらさなどがありません。

ただし、1日20時間装着していただかなければ、治療成果が得られない場合があるため注意が必要です。

特徴2苦しい「型取り」は不要です

画像

iTero(アイテロ)」と呼ばれるペン型のカメラを使用して型取りを行います。
通常ですと、印象材と呼ばれる粘土のようなものをお口の中に入れて型取りを行うため、嘔吐反射の強い方など、型採りで不快な思いをされる方もいらっしゃったと思います。

しかし、アイテロはお口の中をスキャニングするだけで型取りができるため、嘔吐反射が強い方でも快適に型取りを行うことが可能です。

特徴3「非抜歯」での矯正が可能です

画像

矯正治療を検討されいる患者さんの中には「抜歯」が必要だと言われた経験がおありの方もいらっしゃるかもしれません。もちろん、お口の状態から抜歯が必要なケースもありますが、インビザラインによる矯正治療は「非抜歯」が基本です。
歯を抜かずに矯正治療を行いたい方は、ぜひ一度、神戸松田歯科医院にご相談ください。

特徴4「通院回数」を減らせます

画像

インビザライン治療の通院は1か月半から2ヵ月ごとになります。従来のワイヤー矯正と比較して通院頻度が少ないため、患者さんの負担を軽減できます。

コラム当院には「インビザラインゴールドⅠドクター」が在籍しています

画像

年間の症例数に応じて、インビザラインを提供している米国のアライン・テクノロジーからランク付けが行われます。当院の院長は「インビザラインゴールドⅠドクター」に認定されています。

これは、年間の症例数が21~50をこなしているドクターにしか与えられません。これは世界共通のランクでもあり、一定の症例数をこなしてきた信頼の証と言えます。

その他、当院のマウスピース矯正の「特徴」

「Eライン/スマイルライン」を意識した治療

画像

あまり知られていないのですが、矯正治療によって、フェイスラインを整えられるケースがあります。主に「出っ歯」の方や「受け口」の方、「重度の叢生(そうせい)」の方は、より効果を実感しやすい傾向にあります。

多くの方は、フェイスラインを整えると美容外科をイメージされると思います。下記に美容整形と矯正治療の比較をまとめてみたので、フェイスラインにお悩みの方はぜひご覧ください。

治療期間

身体への負担

変化

持続性

矯正治療

画像

1年~2年半

小さい

自然な変化

治療後はその状態を
維持できる

美容整形

画像

数日~数か月

大きい

不自然になってしまう可能性あり

施術の内容によっては永続性がない

美容整形は短期間で終えられるというメリットがある反面、身体への負担も大きいというデメリットがあります。
また、治療内容によっては、せっかくの治療成果が永続しないケースもあります。

一方の矯正治療は、美容整形と比較して治療期間が長いという面があるのですが、身体への負担が少なく、治療成果も維持できるという大きなメリットがあります。
さらに、仕上がりが自然なため、患者さん本来の自然な美しさを引き出すことが可能です。

患者さんのニーズに合わせたプランをご提案

画像

「気になる前歯だけを治療したい・・・」
「過去に矯正治療を行ったが後戻りしてしまった・・・」
など、患者さんのさまざまなニーズにお応えするために、当院では「部分矯正」「後戻り矯正」にも対応しています。

部分矯正プラン

画像

前歯や気になる部分だけを治療するプランです。全顎矯正と比べて、短期間かつ費用を抑えて治療することができます。当院では、「インビザラインGo」と呼ばれるマウスピース型矯正装置を使用して治療を行います。

インビザラインと同じく、透明で自分で取り外しができるため、一般的なワイヤー矯正よりも、快適に治療が行えます。

後戻り矯正プラン

画像

以前、矯正していたのに歯並びが元に戻ってしまった方には、後戻り矯正プランがおすすめです。
「また高額な費用がかかるのか・・・」
「また長期間の治療に耐えなければいけないのか・・・」
こうした心配があるかもしれませんが、ある程度歯並びが整っていることが多いため、治療期間費用については、部分矯正と同程度で収まる方もいらっしゃいます。

歯並びが後戻りしてしまった方は、ぜひ一度ご相談ください。

 

マウスピース矯正の治療の流れ

01カウンセリング

画像

歯並びついてのお悩みを伺います。気になることや、どのような治療法があるのかなど、遠慮なくご質問ください。

02各種検査/初期治療

画像

治療を始める前に、レントゲン撮影、口腔内撮影、虫歯の検査など、お口の状態を細かく診断していきます。
虫歯や歯周病が発見された場合は、まずこちらの治療を優先して行います。

03マウスピースの製造

画像

患者さんのデータに基づいてマウスピースが作成され、その後、医院に届けられます。

04マウスピースの装着

画像

マウスピースをお渡しした後、使用時の注意点を説明します。治療効果を得られるよう、1日に20時間以上の装着をお願いします。マウスピースは1~2週間ごとに新しいものに交換していただきます

05保定装置(リテーナー)の着用

画像

治療後、後戻りを防ぐためにリテーナー(保定装置)の着用が必須です。治療後すぐは、食事の時以外装着していただき、その後様子を見ながら徐々に装着時間を短くしていきます。
最終的には就寝時のみ使用していただきます。

注意!マウスピース型矯正装置は歯が動かない?!

画像

マウスピース矯正を受けられる患者さんが増加する中で、治療に関する問題も報告されるようになっています。例えば、「歯が期待したように動かなかった」「噛み合わせが悪くなった」などの症状を訴えられる患者さんがいらっしゃいます。

こうした症状が起こる原因は大きく分けると2つ考えられます。一つは「装置」の問題、もう一つは「担当医」の問題です。

マウスピース型矯正装置を提供するメーカーには、さまざまな特性があり、「前歯のみを動かす能力」「限定されたケースへの適用」「臨床経験の少なさ」などが挙げられます。そのため、信頼性の高いメーカーの製品を使用しているかどうかが重要な要素となります。

また、治療を担当する歯科医師の技術も重要です。マウスピース型矯正では、治療の多くが人工知能(AI)によって行われますが、完璧な治療が保証されるわけではありません。実際には、人の手による細かな調整が必要になる場面も多々あり、歯科医師の技量が大きく影響します。

治療を受ける医院を選ぶ際には、これらの点を考慮することをお勧めします。

コラムシミュレーションソフト「Nemo Cast」を導入しています

「自分の歯がどのように動いていくのか知りたい・・・」
「イメージ通りの歯並びなるのか不安・・・」

矯正治療は、時間も費用もかかりますから、こうした不安をお持ちの患者さんもいらっしゃると思います。神戸松田歯科医院では、「Nemo Cast(ネモキャスト)」と呼ばれるシミュレーションソフト導入しています。

歯列矯正は、歯はもちろん、顎の骨やお顔全体、歯根の位置などさまざまなバランスを考えて行う必要があります。ネモキャストはこれらを詳細に確認するだけではなく、治療によってどのように変化するのか具体的なシミュレーションを行うことができます。

また、矯正治療で起こりやすい問題(歯根の飛び出し、骨との関係で歯を移動させられない等)も事前に把握することができるため、より安全性の高い矯正治療を行うことができます。

初診「個別」相談へのご案内

当院では、患者さんが抱えていらっしゃるお口のお悩みや疑問・不安などにお応えする機会を設けております。どんなことでも構いませんので、私たちにお話ししていただけたらと思います。
ご興味がある方は下記からお問い合わせください。

医療法人社団 松田歯科医院

24時間WEB予約

お電話でのご予約は8:30から受付中
078-681-0418

〒652-0872
兵庫県神戸市兵庫区吉田町2丁目40番8号
(駐車場30台分確保)