入れ歯

医療法人社団 松田歯科医院
8:30から受付中078-681-0418
24時間WEB予約
キービジュアル

めない」「い」「れてしまう」
入れ歯のおみを解決します

  • しっかり固定できる「PFTデンチャー」
  • 1日で作製できる「1DAYデンチャー」
  • 入れ歯専門の「歯科技工士」在籍

他にも、さまざまな入れ歯を取り扱っています。

何でもバリバリ食べられる入れ歯

吸着入れ歯

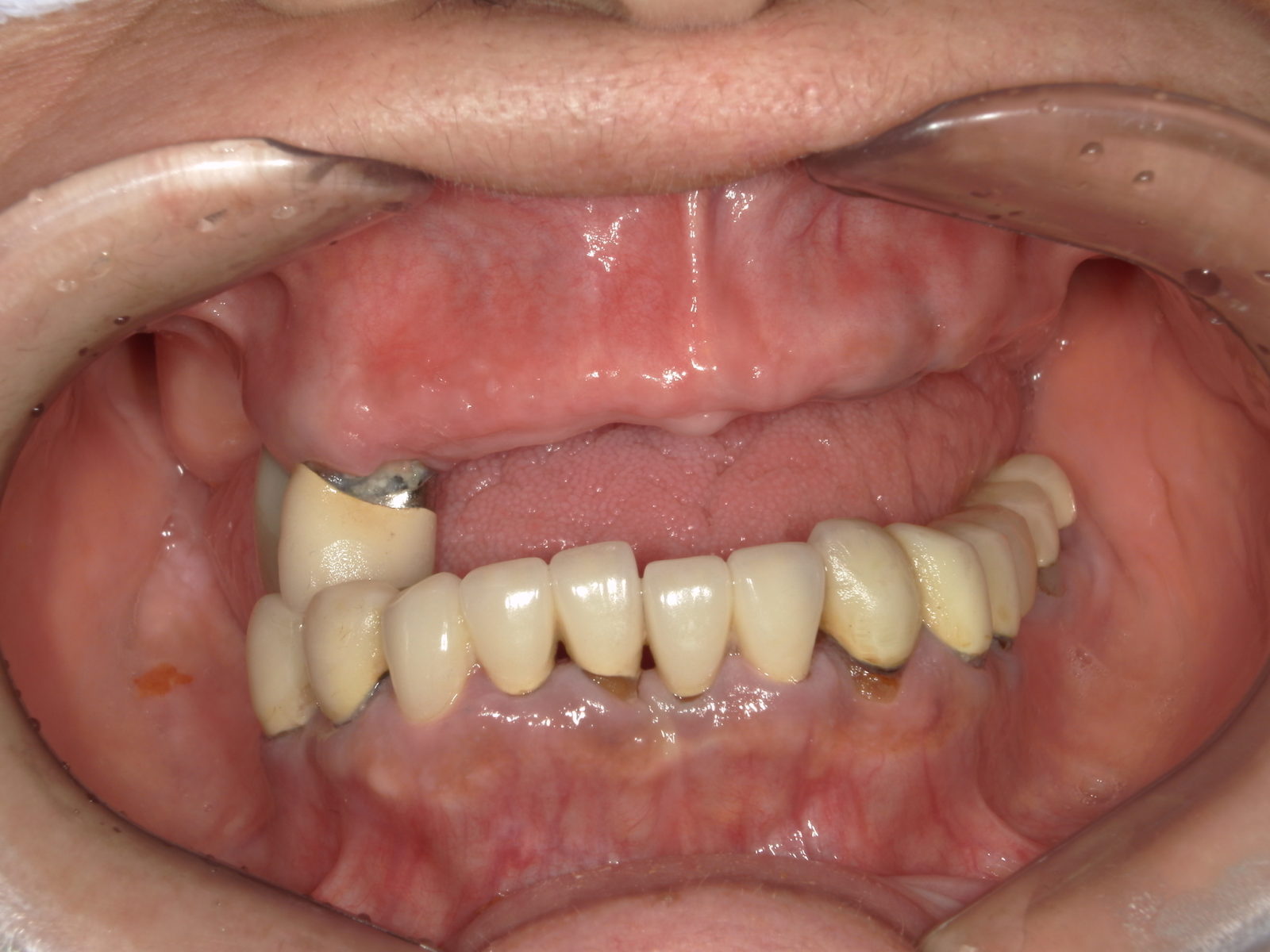
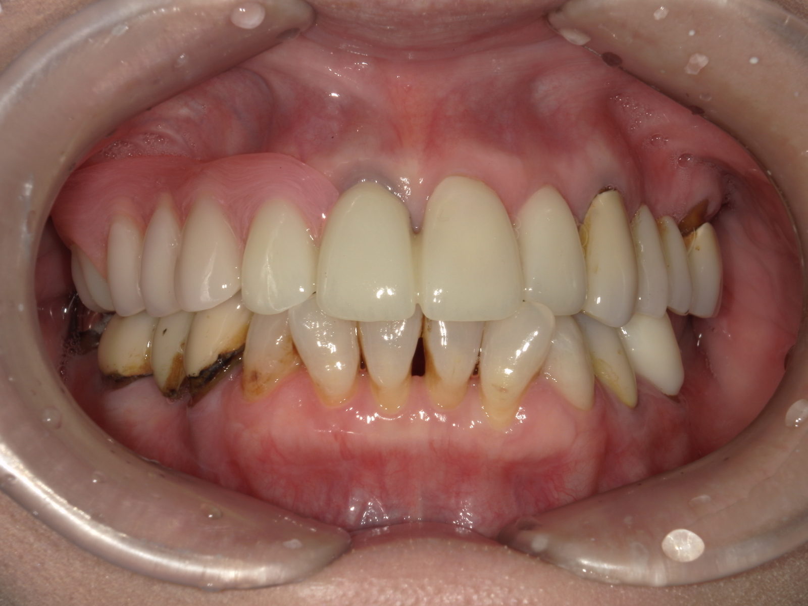
  • 治療前
  • 治療後
主訴上の入れ歯が噛めない 痛い
どのように治療したのかの具体的な説明右上の残存歯はPFTデンチャーの支台とし、左上にインプラント二本埋入、その上にPFTデンチャーセット

下顎は咬合平面変えるため全て精密仮歯に置き換えたのちにジルコニアクラウンにて補綴

治療期間約半年
治療費507.1万円
その治療をすることで起こり得るリスクかみ合わせの高さや平面が変わることによる違和感
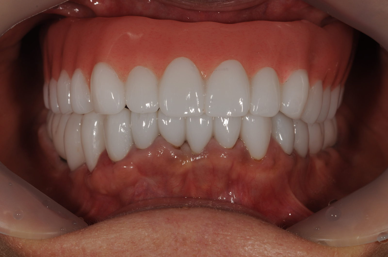
  • 治療前
  • 治療後
主訴上下の入れ歯が合わない
どのように治療したのかの具体的な説明上下精密入れ歯(BPSデンチャー)にて補綴
治療期間1ヶ月
治療費上下で110万円

金属床入れて薄くするなら+16.5万円

臼歯部をジルコニアにしてすり減り防止するなら+35.2万円

かみ合わせの高さ大きく変える等で仮の義歯はさむなら+33万円

その治療をすることで起こり得るリスク前の入れ歯がかなりすり減っていたので、噛み合わせの高さが上がることによる違和感起こりえる
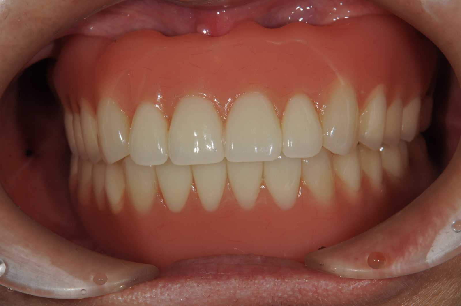
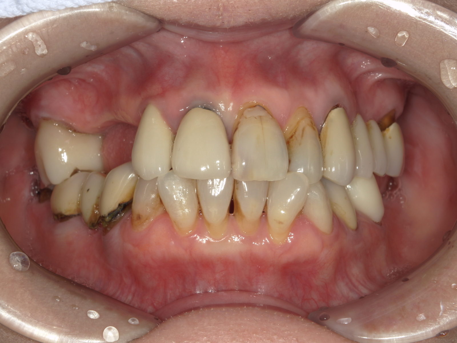
  • 治療前
  • 治療後
主訴入れ歯の金属が目立って嫌
どのように治療したのかの具体的な説明右上345の保険PD部をノンクラスプデンチャーで補綴しなおした。
治療期間1か月
治療費27.5万円
その治療をすることで起こり得るリスク強度が上がるわけではないので、前の入れ歯と同等の破折、チッピングのリスク有
入れ歯の無料相談

入れ歯の皆さんは、悩んでいます

画像

入れ歯を使っている多くの皆さんは、深いお悩みをお持ちです。

・お口の中の極度の異物感、頻繁に起こる嘔吐感
・食べ物を噛むと、痛くて食事どころではない
・食べられるものは限られ、美味しく食べられない
突然外れていまい、会話もままならない
金属のパーツが目立つので、人前でお口を開けられない

当院では、これらのお悩みを解決する、さまざまな種類の入れ歯を用意しています。

以下、詳しくご紹介します。

「目立たない」入れ歯

画像

人前でお話しをする機会の多い方や、接客業の方にお勧めしているのが、「ノンクラスプデンチャー」です。一般的な保険診療の部分入れ歯では、金属のバネで入れ歯を歯に固定します。このバネが目立ってしまうことが多いのですが、「ノンクラスプデンチャー」は金属のバネを使用せず、歯茎の色によくなじむピンク色の樹脂で成形されているので、お口を開けても入れ歯が目立ちません

スマイルデンチャー

画像

非常に透明感があり、歯茎の色になじみやすい入れ歯です。強度と柔軟性がある素材を原料としているため、薄くて丈夫なのが特徴です。口の中での違和感が少なく、快適に使用できます。

・費用
一歯欠損:¥165,000
片側:¥275,000
両側:¥440,000

「しっかり噛める」入れ歯

食べ物を噛もうとすると外れてしまう、ずれてしまうというのも、従来の入れ歯の弱点です。しっかり固定された入れ歯であれば、しっかり噛めて食事も楽しめます

PFTデンチャー

PFTシステム」と呼ばれる装置で固定する入れ歯で、当院お勧めの入れ歯です。

固定装置と入れ歯に凹凸があり、パチッと固定できるようになっています。固定する力が強いのが特徴で、入れ歯が自力で外せなくなって再び来院された患者さんもいるほどです(もちろん、外し方のコツを覚えて頂ければ簡単に外せます。ご安心ください)。

総入れ歯でも、部分入れ歯でも対応可能です。一般的には、残された自然歯(ご自身の歯)に固定装置を装着しますが、自然歯がない場合でもインプラントに装着できます。

・費用
上顎:¥1,210,000
下顎:¥770,000
※個数、歯もしくはインプラントなど、症例により異なります。正確な費用は検査後にてお見積りいたします。

  • 治療前
  • 治療後
主訴上の入れ歯が噛めない 痛い
どのように治療したのかの具体的な説明右上の残存歯はPFTデンチャーの支台とし、左上にインプラント二本埋入、その上にPFTデンチャーセット
下顎は咬合平面変えるため全て精密仮歯に置き換えたのちにジルコニアクラウンにて補綴
治療期間約半年
治療費507.1万円
その治療をすることで起こり得るリスクかみ合わせの高さや平面が変わることによる違和感

インプラントオーバーデンチャー

画像

総入れ歯の方に特にお勧めなのが「インプラントオーバーデンチャー」です。2〜4本のインプラントをお口に埋め込み、インプラントに入れ歯を固定します。こちらも外れにくく、違和感なく噛めるのが特徴です。

・費用
¥1,551,000円
※インプラント2本、スケルトン補強ありの場合

コーヌスクローネ義歯

画像

円筒形の装置で固定する入れ歯です。茶筒にフタをするように、入れ歯がお口にピッタリと収まります。100年以上前にドイツで開発された入れ歯で、長期間にわたって利用できる入れ歯として人気があります。

・費用
¥1,375,000
※支台歯4本、スケルトンありの場合

BPSデンチャー

画像

BPSデンチャー」は、ヨーロッパのリヒテンシュタインで開発された、フルオーダーメイドの総入れ歯です。独自の製作プロセスにより、一般的な入れ歯に比べて短い期間で製作できるのが特徴です。通常、総入れ歯を作るには2〜3ヶ月の期間が必要になりますが、BPSデンチャーは最短4回程度の来院で、早ければ2週間程度で作製できます

また、歯茎の色を自然に再現できるのも特徴です。

・費用
¥550,000円

「痛みを軽減する」入れ歯

シリコンデンチャー

画像

裏側にシリコンを貼り付けた入れ歯です。シリコンには、ゴムのような柔らかい弾力があります。このクッション効果により、噛んだときの痛みが軽減されるので、しっかり噛めるようになります。

シリコンは歯茎に吸着する性質もあるので、外れにくくなるという効果も期待できます。

・費用
¥440,000円(耐用年数2年)

主なリスクと副作用

・適応期間中の違和感や痛み
新しい義歯は装着直後、異物感や軽い痛みを感じることがあります。
・義歯が合わなくなる可能性
加齢や顎の変化によって義歯がズレたりフィット感が低下することがあります。
・口内炎や義歯性の潰瘍
義歯の摩擦や圧迫により、歯肉に炎症や潰瘍ができることがあります。
・義歯の破損や摩耗
長期間の使用や強い力で義歯が破損したり摩耗することがあります。
・発音への影響
義歯の装着により一時的に発音がしづらくなることがあります。
・清掃不足による口臭や感染リスク
義歯の清掃が不十分だと細菌が繁殖し、口臭や感染症を引き起こすことがあります。
・アレルギー反応
使用される材料によってアレルギー反応が起こることがあります。

CHECK最短で翌日に入れ歯ができる「1DAYデンチャー」

画像

入れ歯が欲しくても、作るのに時間がかかってしまうのは困ります。

さまざまな事情で、すぐにでも入れ歯が欲しいという方のために、神戸松田歯科医院では最短1日で作成できる入れ歯「1DAYデンチャー」をご用意しています。
※完成した入れ歯は翌日のお渡しになります。

患者さんと歯科医師、入れ歯専門の歯科技工士の日程を丸一日押さえる必要があります。おかげさまで大変人気のある治療プランになっています。しばらく先まで予約が入っていることがあるので、お早めの予約をお願いいたします

※翌日にお渡しする入れ歯は「仮歯」になります。後日、しっかり調整した入れ歯を製作します。
※お口の状態によっては、翌日に入れ歯の完成ができない場合があります。

・費用
¥550,000円(上下)

神戸松田歯科医院の入れ歯が喜ばれる理由

当院の入れ歯が多くの患者さんに喜ばれている理由は、これまでに紹介した豊富なラインナップだけではありません。詳しくご紹介しましょう。

「診断用義歯」による、徹底的なフィッティング

画像

入れ歯を使っている多くの皆さんが、「噛めない」「痛い」「外れてしまう」というお悩みをお持ちです。
なぜこんなことになってしまうのでしょう。答えは簡単です。

単純に、お使いの入れ歯がお口に合っていないからです。

お口の形状は、「食べているとき」「お話ししているとき」「呼吸しているとき」によって変わってきます。

ほとんどの入れ歯は、これらの動きに対応していません。お口にしっかりフィットさせるには、あごの動き、筋肉の動きに対応させる必要があります。

画像

神戸松田歯科医院では、「診断用義歯」というものを使って、徹底的に入れ歯をお口にフィットさせていきます。
診断用義歯を普段の生活で装着していただき、何度も何度も調整を繰り返します。もう調整が必要ないくらいに診断用義歯がフィットしたら、調整済みの診断用義歯と同じ形状で、正式な入れ歯を作製します。

一般的な保険診療の入れ歯では、こういった調整を行わないので限界があるのです。

「一般的」な入れ歯製作
歯型の採得
本義歯の製作
「治療用義歯」活用の入れ歯
歯型の採得
治療用義歯の製作
顎の位置の調整/歯茎の活性化
適切な骨格と歯茎の構築
本義歯の製作

入れ歯一筋29年の歯科技工士が在籍

画像

歯科技工士」という職業をご存じでしょうか。歯医者の治療では、詰め物や被せ物など、人工の歯をよく使います。もちろん入れ歯も人工歯です。これら人工歯を製作する専門家が、歯科技工士です。
一般的な歯科医院では、外部の歯科技工士に人工歯の製作を依頼していることが多いです。神戸松田歯科医院では、院内に歯科技工室があり、当院専属の歯科技工士が8人も在籍しています。このうち3名は、入れ歯専門の歯科技工士です。中には入れ歯一筋29年の歯科技工士もおります。

入れ歯は、歯科医師と歯科技工士が連携して作製します。専門の歯科技工士が常駐し、歯科医師と密に連携しながら入れ歯を作れるので、より精度の高い入れ歯作りが可能になっています。

初診「個別」相談へのご案内

当院では、患者さんが抱えていらっしゃるお口のお悩みや疑問・不安などにお応えする機会を設けております。どんなことでも構いませんので、私たちにお話ししていただけたらと思います。
ご興味がある方は下記からお問い合わせください。

医療法人社団 松田歯科医院

24時間WEB予約

お電話でのご予約は8:30から受付中
078-681-0418

〒652-0872
兵庫県神戸市兵庫区吉田町2丁目40番8号
(駐車場30台分確保)