虫歯治療

医療法人社団 松田歯科医院
8:30から受付中078-681-0418
24時間WEB予約
キービジュアル

歯科恐怖症の方も安心

極限までみをえた
虫歯治療

  • 「表面麻酔」や「極細針」で痛みを軽減
  • 「削る量の少ない」治療
  • 「神経を取らない」治療
  • 「抜歯を回避する」治療

眠っている間に治療が終わる
静脈内鎮静法」にも対応しています

  • 治療前
  • 治療後
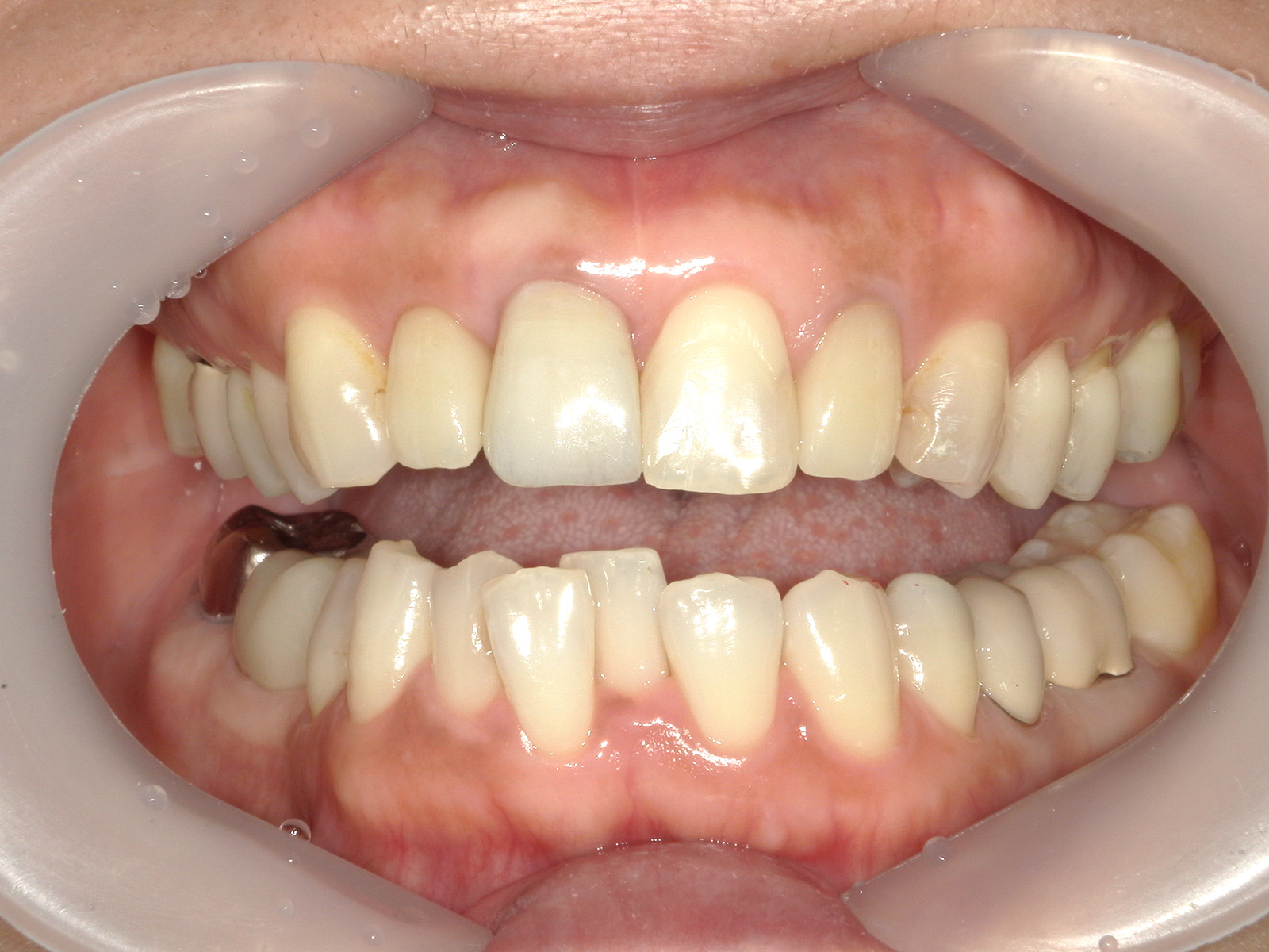
主訴右上の前歯が折れた 他院では抜歯と言われた
どのように治療したのかの具体的な説明そのままではかぶせ物がかぶせられないのでエクストルージョン(矯正による挺出)を行った後に、歯ぐきのラインをそろえるためのクラウンレングスニング(歯茎を切って開いて、歯を支えている骨を整える処置)したのちにジルコニアクラウンにて修復
治療期間途中精密仮歯による経過観察期間もあるので約半年
治療費36.3万円
その治療をすることで起こり得るリスク歯根(歯の土台部分)が短くなることによる、動揺や破折のリスクがあがる
  • 治療前
  • 治療後
主訴左上の前歯がうずく感じがする 歯ぐきのラインがそろっていないのが気になる
どのように治療したのかの具体的な説明歯の軸のズレを直すために矯正治療行った後にそのままではかぶせ物がかぶせられないので、クラウンレングスニング(歯茎を切って開いて、歯を支えている骨を整える処置)したのちに上の4前歯ジルコニアクラウンにて修復
治療期間矯正期間含めて約2年
治療費206.8万
その治療をすることで起こり得るリスク歯根(歯の土台部分)が短くなることによる、動揺や破折のリスクがあがる

痛みを最小限に抑えた、安心の歯科治療

画像

このページをご覧になっている方の中には、「虫歯も痛いが、歯医者の治療の方がずっと痛い」という理由で、虫歯の治療に二の足を踏んでいる方もいらっしゃると思います。

昔の歯医者では、確かにそういうことがあったかもしれません。しかし、歯医者の治療技術は進んでいます。現在では、虫歯の治療であれば、ほとんど痛くない」治療が当たり前になりつつあります

神戸松田歯科医院では、次のような取り組みで、虫歯治療の痛みを抑えています。以下、詳しくご紹介します。

注射の痛みを軽減する「表面麻酔」

画像

治療中の痛みは、麻酔の注射で抑えます。そういうと「その注射が痛いのだ」という声がきこえてきそうですね。
当院では、注射の針を入れる位置にあらかじめ「表面麻酔液」を塗ります。麻酔が効いてから注射をするので、痛みが抑えられます。

痛みを感じにくい「極細針」

画像

注射の針が細ければ細いほど、針を入れたときの痛みを感じにくくなります
当院では、医療機関向けに販売されている注射針の中でももっとも細い針を使用し、注射の痛みを軽減しています。

不快感の少ない「電動注射器」

画像

麻酔液を注射するスピードや圧力が一定でないと、これも痛みや不快感の原因となります。当院では、一定の圧力やスピードで注射できる「電動注射器」を用いて、痛みや不快感の軽減に取り組んでいます。

痛みを感じにくい部分を見極める「技術」

画像

お口の中には、痛みを感じやすい部分と感じにくい部分があります。当院の歯科医師は、これらの位置を見極め、痛みを感じにくい部分を狙って注射しています。

コラム不快音・振動の少ない「5倍速コントラ」

画像

歯医者の治療というと、「キュイーン!!」というドリルの回転音や、歯を削るときの「ガガガッ」という振動をイメージされる方が多いと思います。これらの音や振動は、「タービン」というドリルによるものです。患者さんによっては、こうした音や振動音がストレスになることがあります。
当院では、「5倍速コントラ」というドリルをよく使います。5倍速コントラでは、タービンに比べて不快音が抑えられ、患者さんのストレスが軽減されます。振動も少ないので、タービンよりも精密な治療が可能になります

それでも「歯医者は怖い」という方のために

現在の虫歯治療は、昔に比べて極限まで痛みを抑えられるようになりました。しかし、「それでも痛そうだ。歯医者の治療はどうしても怖い」という方もいらっしゃいます。こうした方のために、当院は次のような治療を用意しています。

  • 静脈内鎮静法

以下、詳しくご紹介します。

眠っている間に治療が終わる「静脈内鎮静法」

画像

鎮静剤を点滴で入れることで、患者さんはほぼ眠った状態となります。この状態で治療を行うので、患者さんは恐怖感や痛みを感じることはありません。

歯科恐怖症の方以外にも、お口にものが入ると気持ち悪くなってしまう「嘔吐反射」の強い方にもお勧めの治療法です。

コラム再発を防ぐ「レーザー治療」

画像

神戸松田歯科医院では、歯科用のレーザー治療器を導入し、治療に活用しています。

レーザーの光には強い殺菌効果があります。虫歯は、虫歯菌による感染症です。虫歯になった部分にレーザーの光を照射することで、虫歯菌を殺菌し、再発を防止できます。

レーザーの光は表面にのみ作用するので患部へのダメージが少なく、痛みもほとんどありません。麻酔を必要とせずに治療ができることがあるほどです。

可能な限り「削る量を抑えた」治療

画像

一般的な虫歯治療では、虫歯になった部分を削って詰め物/被せ物をして治療が終わります。

ただし、歯は削ってしまうと元には戻りません。歯の健康な部分を必要以上に削ると、歯の寿命も短くなってしまいます。虫歯になった部分だけを削り、健康な部分は一切削らないのが理想の虫歯治療です。これを実現するため、神戸松田歯科医院では次のような取り組みをしています。

マイクロスコープ/高倍率ルーペ

画像
画像

虫歯になった部分だけを削り、健康な部分は一切削らないのが理想といいましたが、この境目を見極めるには、ミクロン単位の精度が求められます。肉眼で患部を見ながらでは、この精度で治療するのは非常に困難です。
神戸松田歯科医院では、原則的には肉眼での治療は行いません。「マイクロスコープ」「高倍率ルーペ」で拡大された視野のもと治療を行います。

次の写真は、マイクロスコープと肉眼の違いです。マイクロスコープを利用することで、どれほど治療の精度が上がるか、おわかりいただけると思います。

当院では、マイクロスコープを7台導入し、積極的に治療に活用しています。歯科衛生士も高倍率ルーペを使用して治療を行っています。

ダイアグノデント

画像

虫歯の症状が進めば進むほど、治療の際に削る量が多くなります。歯の寿命を守るためには、可能な限り早期に虫歯を見つけることが大切です。当院では、歯にレーザーの光を当てて早期の虫歯を発見できる装置「ダイアグノデント」を導入しています。肉眼では見つけにくい、歯と歯の間の虫歯も見つけられます。

う蝕検知液

画像

う蝕検知液」は、虫歯菌に感染した部分だけを着色してくれる薬品です。歯の健康な部分には着色されないので、色が着いた部分だけを削れば、虫歯だけを取り除けます

可能な限り「神経を取らない」治療

画像

歯が痛むほど虫歯が進行していると、虫歯が歯の神経近くまで達しているか、すでに神経が虫歯菌に侵されていることが考えられます。虫歯がここまで進行してしまうと、一般的には歯の「神経」を取り除く根管治療」が必要になります。ただし、歯の神経を取ると歯の寿命が短くなってしまいます。このため、可能であれば神経を取らずに治療することが望ましいのです。

適応できる症例は限られますが、「MTAセメント」などの薬剤を使うことで、歯が痛むほど進行した虫歯であっても、「部分断髄法」という治療法で神経を残せることがあります。

画像

「部分断髄法」では、文字通り、神経(歯髄)の炎症を起こした部分だけを切断し、残された神経をMTAセメントで覆って治療します。

MTAセメントには、次のような特徴があります。

強いアルカリ性で、患部の虫歯菌を殺菌する
細菌が再び患部に侵入する「すき間」を作らない
神経を保護する層を形成してくれる

・費用
パーフォレーションリペア:¥22,000円
VPT:¥55,000円

主なリスクと副作用

・硬化時間の長さ
硬化に時間がかかるため、治療時間が長くなることがあります。
・変色のリスク
一部のMTAセメントは、使用後に歯が変色することがあります。
・治療後の違和感
歯の内部に充填するため、まれに噛み合わせの違和感を感じることがあります。

可能な限り「抜歯を避ける」治療

画像

右の写真のように、虫歯がひどく進行して歯が崩壊してしまうと、一般的には「抜歯」をすることになります。
抜歯した後は「インプラント」「入れ歯」「ブリッジ」の治療に進みますが、いずれの治療法も患者さんの負担が小さくありません。当院では、抜歯せずに治せる可能性がある症例については、抜歯を避ける治療法を提案します。

具体的な治療法をご紹介します。
※いずれの治療法も、すべての症例で適応できるわけではありません。

エクストリュージョン

一般的な虫歯の治療では、虫歯になった部分を削って被せ物を取り付けます。
虫歯がひどく進行して歯が崩壊してしまうと、被せ物を取り付ける場所がなくなってしまい、治療ができなくなってしまいます。一般的な歯科医院では抜歯と診断されますが、当院では、「エクストリュージョン」という治療法で、抜歯せずに治せることがあります。
「エクストリュージョン」は矯正治療の一種で、歯茎に埋もれた歯の根を外に引き出し、被せ物を取り付ける場所を作ります

・費用:¥110,000円

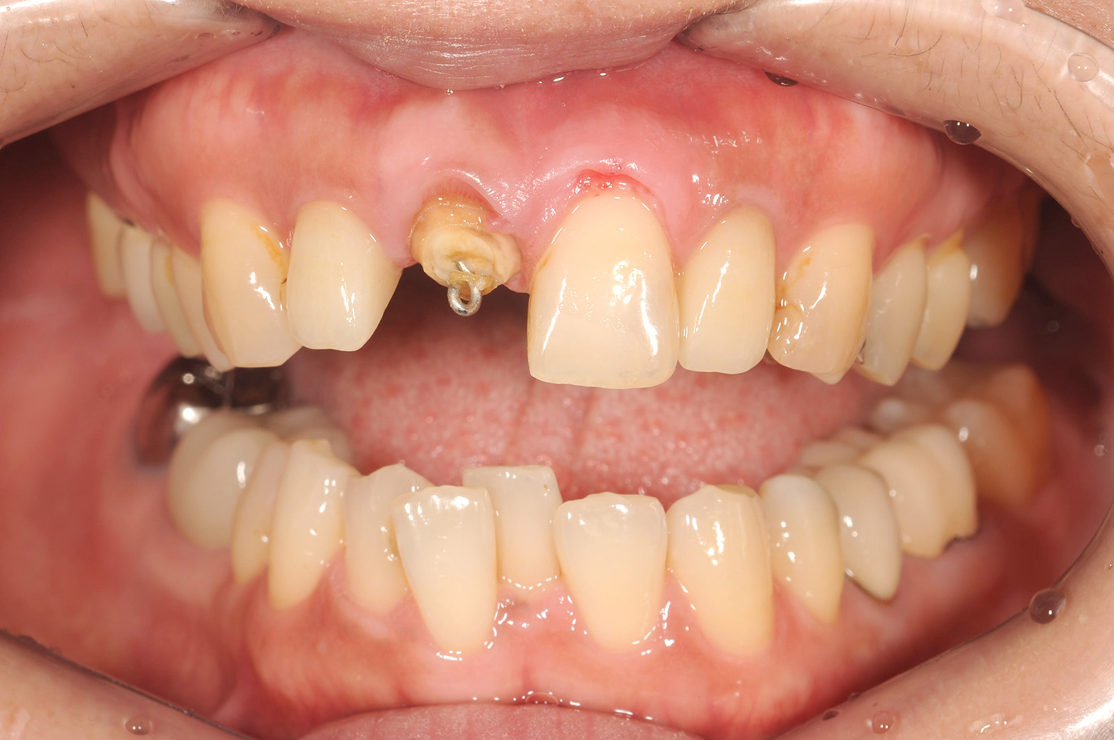
  • 治療前
  • 治療後
主訴右上の前歯が折れた 他院では抜歯と言われた
どのように治療したのかの具体的な説明そのままではかぶせ物がかぶせられないのでエクストルージョン(矯正による挺出)を行った後に、歯ぐきのラインをそろえるためのクラウンレングスニング(歯茎を切って開いて、歯を支えている骨を整える処置)したのちにジルコニアクラウンにて修復
治療期間途中精密仮歯による経過観察期間もあるので約半年
治療費36.3万円
その治療をすることで起こり得るリスク歯根(歯の土台部分)が短くなることによる、動揺や破折のリスクがあがる
画像

主なリスクと副作用

・歯の動揺
歯を引っ張り出すため、一時的に歯がグラつくことがあります。
・歯根の吸収
過度な力がかかると歯根が短くなり、吸収が起こる可能性があります。
・治療後の痛みや違和感
歯の移動に伴い、痛みや噛んだ時の違和感が生じることがあります。
・歯肉や骨の不整形
エクストリュージョン後に歯肉や骨の形が不均一になることがあります。
・再発のリスク
移動した歯が元の位置に戻ろうとする力(後戻り)が働く場合があります。

クラウンレングスニング

上で紹介した「エクストリュージョン」では、矯正治療で歯の根を外に引き出すことで、被せ物を取り付ける場所を作りました。これに対して「クラウンレングスニング」では、歯を支える歯肉や骨を外科的に切除して歯の根の一部を露出させ、被せ物を取り付ける場所を作ります。
「エクストリュージョン」に比べて短期間で治療できるというメリットがありますが、歯肉を切除するため、前歯など目立つ位置の治療には向かないことがあります。

・費用:¥110,000円

  • 画像
  • 画像

    歯肉を切開し、歯根を露出させた状態。

  • 画像

    被せ物を装着し、治療完了。

主訴左上の前歯がうずく感じがする 歯ぐきのラインがそろっていないのが気になる
どのように治療したのかの具体的な説明歯の軸のズレを直すために矯正治療行った後にそのままではかぶせ物がかぶせられないので、クラウンレングスニング(歯茎を切って開いて、歯を支えている骨を整える処置)したのちに上の4前歯ジルコニアクラウンにて修復
治療期間矯正期間含めて約2年
治療費206.8万
その治療をすることで起こり得るリスク歯根(歯の土台部分)が短くなることによる、動揺や破折のリスクがあがる

主なリスクと副作用

・歯の知覚過敏
歯根が露出することで冷たいものや熱いものがしみることがあります。
・歯肉の腫れや痛み
手術後に歯肉が腫れたり痛みが生じることがあります。
・歯の動揺
歯を支える骨を削るため、歯が一時的に揺れやすくなることがあります。
・歯根の見た目の問題
歯根が長く見えることで審美性が低下する場合があります。
・感染のリスク
術後のケアが不十分だと細菌感染を起こすことがあります。

初診「個別」相談へのご案内

当院では、患者さんが抱えていらっしゃるお口のお悩みや疑問・不安などにお応えする機会を設けております。どんなことでも構いませんので、私たちにお話ししていただけたらと思います。
ご興味がある方は下記からお問い合わせください。

医療法人社団 松田歯科医院

24時間WEB予約

お電話でのご予約は8:30から受付中
078-681-0418

〒652-0872
兵庫県神戸市兵庫区吉田町2丁目40番8号
(駐車場30台分確保)