
院長歯科医師 松田 康暉 YASUAKI MATSUDA
歯周再生・インプラント
- ・関西学院大学
人間福祉学部 社会起業学科卒 - ・大阪歯科大学卒
- ・神戸松田歯科医院 臨床研修修了
「超短期」治療専門

【1日2名限定】
次の方にお勧め


患者さんにとって、
理想の治療は千差万別。
しかし、様々な制約を抜きに考えたとき、
「短期間」「高品質」「安心」の3つを満たす
治療が理想ではないでしょうか。
1人の患者さんにかけられる時間は有限。
すべてを完璧に満たすことはできない。
しかし、これらを実現することで、
喜んでくれる患者さんが必ずいる。
2025年。
20年越しに、この理想をカタチにしました。
今までにない
新しい歯医者のコンセプト
一般的な
歯医者
当院
治療時間
1回あたりの治療時間は30分前後。
治療が小分けになり、通院の手間がかかります。
初診から2時間確保。
複数の歯を1回にまとめて治療する
ことで、時間的ロスを最小限に抑えます
治療期間
数回〜十数回にわけて通院が必要な
ケースが多く、長期化しやすい傾向があります。
ほとんどの治療が
1日で終了
必要最小限の通院で済みます。
担当ドクター
担当医の経験・スキルにばらつきがあり、
医師が毎回変わるケースもあります。
10年以上の治療実績を持つ、し
経験豊富な実力派ドクターのみが
診療を担当します。
費用
保険診療が中心。
制限のある材料や手法で、再治療が必要に
なるなど、長期的な耐久性に差が出ることも。
100%自費診療による高精度な治療。
再治療がいらない質の高い治療を
提供します。
費用を抑えながら
時間をかけて治療したい方向け
最短で質の高い治療を
受けたい方向け
寝ている間に治療が終わる
睡眠無痛治療(静脈内鎮静法)は点滴で麻酔薬を入れ、ほぼ眠っている状態で治療を行う方法。気づいた時には治療が終わっているため、恐怖心、痛み、ストレスなく治療ができます。
次の方にお勧めです。
01
歯科
恐怖症の方
02
ストレス「0」で
治療したい方
03
おう吐反射
が強い方

精密機器、院内常駐の歯科技工士、治療時間の確保により短期治療を実現し、選抜された熟練歯科医師による治療により高品質な治療が担保されます。


13名のDrから一定の審査基準をクリアしたDrのみが治療を担当。
歯学博士、認定医/専門医も含む。

01.
最低でも2時間の時間を確保するので、
4回の来院分以上の治療が可能。
02.
治療期間を短縮させるための様々な
精密機器を導入。
03.
歯科技工士が院内に常駐しているため
被せ物がその日のうちに制作可能。
01
最低でも2時間の枠を確保。4倍速以上で治療が進みます。
通常の歯科治療では1回の治療時間は15分~30分で行うことが多いため、簡易的な治療であっても3~4回、難しいケースの場合3~4か月もかかることがあります。当院では1回の治療時間を最低でも2時間確保し、行える治療はすべてその日で実施するため、多くの治療は1日で完了します。

一般的な歯医者
15〜30分

神戸松田歯科E+
120〜
300分
02


精密機器をフル活用することで、これまで多くの時間を必要としていたことが、1/10ほどの時間で済むことが多くあり、それが治療期間/時間の短縮につながります。
03


専属の歯科技工士が院内に常駐しているため、被せ物制作に何日もかかることはなく、その日のうちに制作しお口にセットできます。
PROFILE
1981年 岐阜歯科大学卒業後、神戸市内の歯科医院にて勤務
1984年 神戸市兵庫区にて、松田歯科医院を開設
1997年 学位記(歯学博士)を取得
2001年 神戸歯科麻酔インプラント研究所を創設
2007年 日本口腔インプラント学会専門医に認定
2011年 BPSデンチャー国際ライセンス取得
2013年 「歯の治療の補綴用ガイドプレート」実用新案特許取得




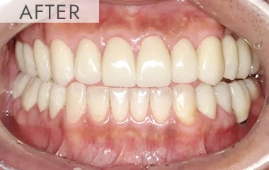
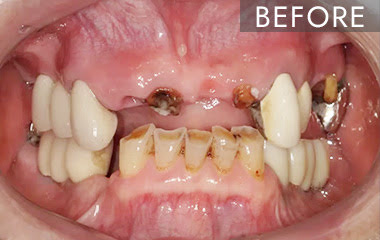
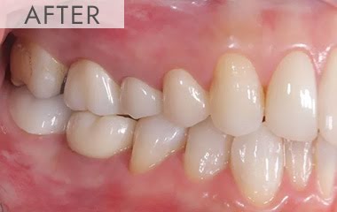
兵庫県神戸市兵庫区の短期治療×高品質治療×フルオーダーメイドをテーマとしている歯医者「神戸松田歯科E+」。当院が実施する短期治療をご紹介します。虫歯や歯周病、根管治療は当然とし、セラミック治療、ガミースマイル治療、インプラント、オールオン4、入れ歯、ボロボロの歯の総合治療に関しても短期治療を実現しています。


Bringing smiles to life













総合的な治療は、通常よりも対応が難しい治療になるため、
医院としても「しっかりと時間を確保」しています。
しかし、「無断キャンセル」される患者さんがいます。
私たちは「覚悟」をもって対応していますので、
患者さんご自身もその想いを汲んでいただきたいです。

兵庫県神戸市兵庫区吉田町の歯医者「神戸松田歯科E+」のホームページをご覧いただき、ありがとうございます。当院では、仕事や育児で忙しい方のために、1日で治療が終わる虫歯治療、1dayセラミック治療、1dayデンチャー(入れ歯)、1~2回で終わる根管治療、オペ当日に歯が入るインプラント治療、歯周病の短期集中治療などに対応しています。他にも、抜歯を回避する治療、再生歯内療法(RET)にも対応可能な小児歯科、ガミースマイル治療、ボロボロの歯の治療、親知らずの抜歯も行っています。歯科恐怖症の方のために、睡眠無痛治療にも対応。セカンドオピニオンにも対応しているので、ご相談ください。平日夜19:00まで、土曜日も17:00まで診療しています。海岸線「御崎公園駅」3番出口からすぐにあります。